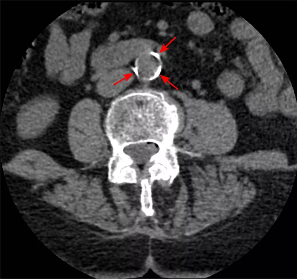
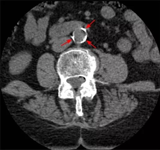
Érelmeszesedés Érelmeszesedés (aorta) Elmeszesedett hasi aorta CT rétegfelvételen. Forrás Jmarchn, liszensz: CC BY-SA 3.0 (Wikimedia Commons) Kategória Diagnosztika Közzétéve: 2020. 12. 09. 16:10 You must have JavaScript enabled to use this form. Saját név Hozzászólás A szövegformátumokról Egyszerű szöveg A HTML jelölők használata nem megengedett. A webcímek és e-mail címek automatikusan kattintható hivatkozásokká alakulnak. A sorokat és bekezdéseket a rendszer automatikusan felismeri. A mező üresen hagyandó