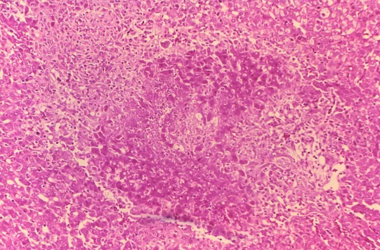
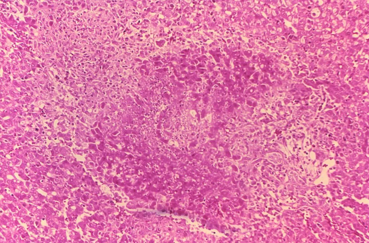
Brucella granuloma Brucella granuloma májban Brucellózis – Brucella suis okozta nekrotikus granuloma sertés májszövetben. Mikroszkópos kép. Forrás CDC, Wikimedia Commons Kategória Diagnosztika Közzétéve: 2020. 11. 12. 12:58 You must have JavaScript enabled to use this form. Saját név Hozzászólás A szövegformátumokról Egyszerű szöveg A HTML jelölők használata nem megengedett. A webcímek és e-mail címek automatikusan kattintható hivatkozásokká alakulnak. A sorokat és bekezdéseket a rendszer automatikusan felismeri. A mező üresen hagyandó