A Nemzeti Népegészségügyi és Gyógyszerészeti Központ (NNGYK) az Európai Unió minősítési rendszere alapján értékelte hazai természetes fürdővizeinket. Magyarországon 2023-ban 283 természetes fürdővizet...
A 2-es típus cukorbetegség a szív-érrendszeri és a vese- mellett a daganatos betegségek kockázatát is megnöveli, ezért érdemes rákszűréseket végezni a diabéteszben szenvedők körében - közölte egy...
Frissült a dohányzásról való leszokást támogató szakmai irányelv, amely összefoglalja a program egyes lépéseit, rávilágít az alternatív dohánytermékek veszélyeire és kitér a gyógyszeres terápiára is -...
A szamárköhögéses megbetegedések száma Hollandiában elérte az elmúlt 10 év legmagasabb szintjét, eddig 7187 esetet regisztráltak - közölte a holland közegészségügyi intézet (RIVM). A friss közlemény...
A Szegedi Tudományegyetem (SZTE) Neuroregenerációs Laboratóriumában azt vizsgálják a kutatók Nógrádi Antal professzor vezetésével, miként tehető hatékonyabbá a gerincvelő-sérülés gyógyítása az mRNS...
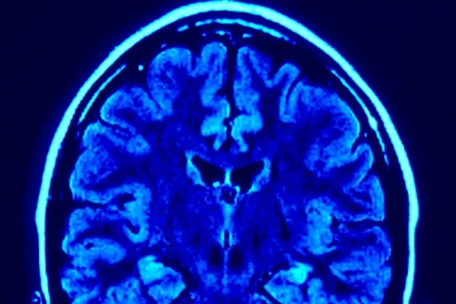
A Semmelweis Egyetem kutatói a brit UK Biobank adatait felhasználva több mint 300 ezer, depressziós és egészséges férfi és nő profilját elemezve arra keresték a választ, mely csoportoknál lehet...
Az Európai Parlament elfogadta a levegőminőség szabályait alapvetően meghatározó uniós irányelv szigorítását. A jogszabály szövege a sok kompromisszum ellenére hosszabb távon reményt ad arra, hogy...
Az ILD-betegség elleni küzdelem fontos eleme a személyre szabott terápia mellett a megfelelő életmód kialakítása, különös tekintettel a fizikai aktivitásra. E betegek számára az aktivitás elsősorban a...
Gyorsan változó világunkban, ahol a gyerekekre nap mint nap számos kihívás vár és könnyen elfoghatja őket a bizonytalanság érzése, az önbizalom az egyik legnagyobb ajándék, amit egy szülő adhat. A...
