A katasztrófavédelem szerint már érezhető a szúnyogártalom, de nincs invázió; a kifejlett szúnyogok ellen egyelőre a Duna mentén Szekszárd, Baja és Mohács térségében szükséges a védekezés. Az Országos...
Az őshonos fajok védelmével, terjesztésével és a biológiai sokféleség fenntartásával az inváziós fajok megjelenése késleltethető, a már jelen lévők negatív hatása pedig enyhíthető – hangzott el Áder...
Már az újszülöttek 90 százalékát szűrik a gerinc eredetű izomsorvadás (SMA*) betegségre – tájékoztatta a Szegedi Tudományegyetem (SZTE) közkapcsolati igazgatósága az MTI-t annak kapcsán, hogy ötven...
Elfogadta első olvasatban a francia nemzetgyűlés kedden a halálba segítés szigorú feltételek melletti legalizálásáról szóló törvénytervezetet. Az egy évig tartó parlamenti vita végén az 577 fős...
Tájékoztatásuk szerint Abrigo de San Lázaróban – ahol a feltételezések szerint az Ibériai-félsziget és a világ utolsó neandervölgyi emberei éltek kihalásuk előtt – 2022 nyarán fedeztek fel egy kisebb...
Révész Máriusz államtitkár a témában rendezett budapesti háttérbeszélgetésen jelezte: államtitkársága azon dolgozik, miként lehet megszólítani azokat az embereket, akiknek nem fontos a mozgás vagy nem...
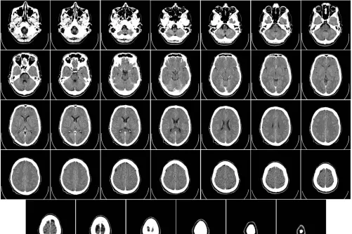
Az Európai Stroke Társaság (ESO) legmagasabb, gyémánt szintű elismerését nyerte el a Semmelweis Egyetem Idegsebészeti és Neurointervenciós Klinika stroke-ellátó programja – közölte az intézmény az MTI...
Kínai, német, brit és madagaszkári tudósok a korai kréta korszakból származó, mintegy 140 millió évvel ezelőttről, Madagaszkárról és a kínai Csinghaj-Tibet-fennsík területéről előkerült...
Május 22. a biológiai sokféleség nemzetközi napja, amely ráirányítja a figyelmet bolygónk élőlényeinek gazdag változatosságára, a természet pótolhatatlan kincseire, valamint közös felelősségünkre...
