A brucellosis (febris undulans – hullámláz) ritkán előforduló fertőző betegség, Magyarországon évente egy-két esetet jelentenek.
Európában a spanyoloknál gyakoribb, a tengerentúlon Mexikóban, valamint a dél-amerikai országokban fordul elő.
Az emberi megbetegedésért főként a fertőzőtt, nem pasztőrözött tej, az ebből készült sajt fogyaszása felelős.
Állatorvosok, állattenyésztők, vágóhídon dolgozók a fertőzött állat húsával érintkezve is megbetegedhetnek. A fő kórokozók a Brucella abortus (szarvasmarha), a Brucella melitensis (kecske) és a Brucella suis (sertés).
A brucellosis alattomos módon jelentkezik, hetek telhetnek el mire a beteg orvoshoz fordul. A tünetek ugyanis aspecifikusak, eleinte nem keltik súlyos betegség benyomását. Étvágytalanság, fogyás, izzadás, nagyfokú fáradékonyság, fejfájás, ízületi fájdalmak, hullámzó, főként éjszaka jelentkező láz.
A krónikus formában évekig fennállhatnak a pananaszok, hosszabb tünetszegény, láztalan, illetve hőemelkedéstől mentes periódusokkal tarkítva. A férfiak mellékheréjét az esetek alig több mint tizedében támadják meg a brucellák. A betegekben megnagyobbodhatnak a nyirokcsomók, a lép, ritkábban a máj is.
A kórokozó kimutatása vérből, liquorból (gerincvelői folyadékból), estenként vizeletből, csontvelőből is lehetséges. Krónikus fertőzésnél a brucellák ellen termelődött antitestek kimutatása lehet a diagnózis felállításának egyik alapja.
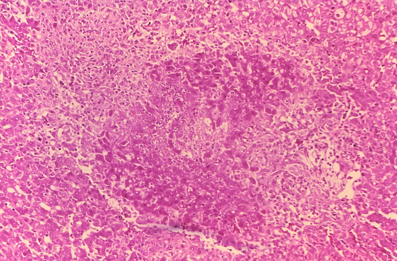
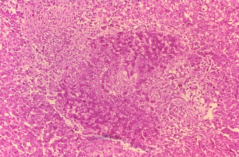
Prognózisa kezelés nélkül rossz, az elhúzódó betegség csont- és ízületi károsodásokhoz vezet. Súlyos szövődmény az endokarditisz (szívbelhártya-gyulladás, a szívizomra többnyire nem terjed), a szívbillentyűk károsodása. Előfordulhat továbbá hepatitisz, epehólyag-gyulladás, pneumonitisz (intersticiális, azaz a tüdő légcserében részt nem vevő szöveteinek gyulladása mellhártya izzadmánnyal).
A terápia kombinációs sémák alkalmazásával történik (hatóanyagok: doxycyclin, rifampicin, streptomycin, trimethoprim/sulphamethoxazol). Szövődményes esetekben hónapokig tartó kezelésre lehet szükség.
Váli Béla Edgár
orvosiLexikon.hu
