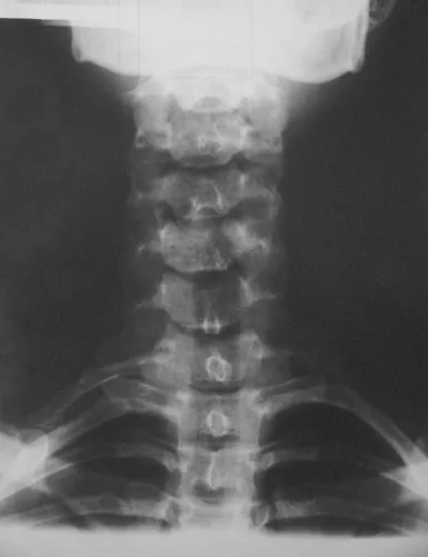
Nyaki borda Nyaki borda Kétoldali nyaki borda a hetes, egyoldali a hatos nyakcsigolyán. Kategória Diagnosztika Közzétéve: 2016. 04. 23. 14:49