Mindent a sclerodermáról

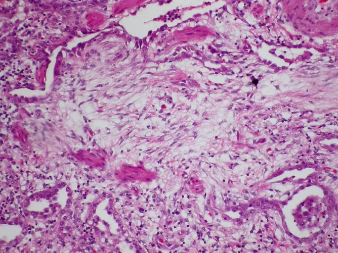
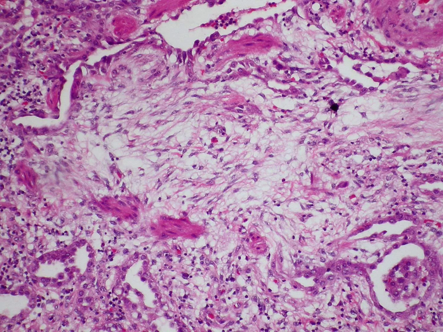
Az elváltozás tüdőszöveti mikroszkópos képe
Fibrotikus elváltozás a tüdőben, fibroblasztok tömege (forrás: Yale Rosen, liszensz: CC BY-SA 2.0, Wikimedia Commons)

Ismeretlen eredetű kötőszöveti elváltozás, mely több létfontosságú szervet is érinthet.

A scleroderma egy ritka, krónikus, autoimmun betegség, mely jelenleg nem gyógyítható, azonban a korai diagnózis felállításával a betegek életminősége a tünetek célzott enyhítésével javítható.

Mit is jelent a scleroderma (magyar írásmódban: szkleroderma) szó?

A scleroderma szó görög eredetű: a sclero keményet, míg a derma bőrt jelent (kemény bőr). A scleroderma a test kötőszöveteit támadja meg, amelyek funkciója, hogy támogassák és összekössék a belső szerveket, de hozzájárulnak a csontképzéshez is – hozzákötik az izmokat a csontokhoz. A scleroderma sokkal több egy szimpla bőrbetegségnél, a kötőszövet megkeményedése a test bármely területén előfordulhat, így megbetegítheti a tüdőt, a szívet, a veséket, az emésztőszerveket, az ízületeket és a bőrt is.

A betegség oka ismeretlen, de becslések szerint 2,5 millió embert érint világszerte, többnyire az életük teljében lévő, 25-55 év közötti nőket. A betegség négyszer gyakrabban fordul elő nőknél, mint férfiaknál. Súlyossága függ attól, hogy mely szerveket támadta meg, mennyire súlyosak a tünetek, és hogy a betegség milyen gyorsan halad előre.

A scleroderma ritka betegségnek számít, sajnos a mai napig keveset tudunk róla. A tünetek különféle szerveknél jelentkeznek, nehéz felismerni, és emiatt a legtöbb esetben már csak a betegség előrehaladottabb állapotában születik meg a diagnózis.

Változások a bőrön

A sclerodermás betegek 90%-ánál jelentkezik valamilyen bőrtünet, például a bőr megvastagodása, feszessé válása, legtöbbször az ujjakon. A bőrön pigmentfoltok, vagy pigmenthiányos részek keletkeznek, de előfordulhatnak bőr alatti meszes csomók is. A bőr tünetei fokozatosan terjednek az ujjakról a test többi részére.

A lábon és a karon előforduló tünetek

A scleroderma befolyásolja a vérkeringést, különösen a végtagokban. A betegek 90%-a Raynaud szindrómában szenved – amely egyébként a betegség egyik korai tünete –, aminek következtében az ujjak elfehérednek, fájnak, és a beteg hidegnek érzi azokat. Az ilyen tünetek észlelésekor sürgősen orvoshoz kell fordulni. Gyakran az ujj bőre feszes és megvastagodik, ezért a beteg nehezen mozgatja ujjait, nehezére esik megfogni tárgyakat. A betegek 40%-ánál jellemző a kisebesedett vagy fekélyes ujjbegy.

A tüdő érintettsége

Ha a sclerosis a tüdőt is érinti és hegesedést okoz, akkor szisztémás sclerosissal összefüggő intersticiális (kötőszöveti) tüdőbetegségről beszélünk (SSC-ILD). Ebben az esetben a tüdő léghólyagjai hegesek és gyulladtak lesznek, amely rontja a tüdő funkcióját, a tüdő merevvé válik, így veszít teljesítményéből. A hegek megjelenése miatt a scleroderma ezen szövődményét tüdőfibrózisnak is szokás nevezni.

A betegek mintegy 90%-ának a tüdeje is érintett a betegségben, ami lehet enyhe tünet, de akár súlyosabb légszomj is, amely már a mindennapi tevékenységük ellátásban is zavart okozhat. Sajnos, ezeket a tüneteket sokszor a fáradtságnak tudják be az érintettek, így az igazi okok feltárására nem kerül sor, a betegség tovább súlyosbodik.

A tüdő érintettsége vezető halálok a szisztémás szklerózisos betegek körében. Ezért fontos, hogy ha légszomjat vagy egyéb légzőszervi problémát tapasztalunk, keressük fel orvosunkat.

Ízületi- és izomfájdalmak, merevség

A betegek 65%-ánál ízületi vagy izomproblémák lépnek fel, mind a nagyízületek – csukló, térd, könyök, csípő-, mind a kisízületek – például ujjak – is érintettek lehetnek, fájdalmassá tehetik a mozgást. Mivel a scleroderma befolyásolja a mozgást, így az izmok gyengülnek, mindez jelentősen befolyásolhatja a beteg hétköznapi tevékenységeit is. Ezért fontos, ha izomfájdalmat tapasztalunk magunkon vagy családtagjainkon, forduljunk orvosunkhoz, aki segít meghatározni a probléma valódi okát.

Az emésztőszervek

Tíz betegből kilencnél az emésztőrendszer – a száj, a nyelv, a gyomor- bélrendszer – is érintett a betegségben. A hegesedés, a fibrózis (rostos elfajulás) megvastagítja a bélrendszer falát, az izmok sem tudnak megfelelően működni, ez hatással van az emésztésre. Gyomorégés, emésztési zavar, étvágytalanság, székrekedés, hasmenés, hányinger és nyelési nehézség lehetnek a tünetek. Ezek a tünetek nagyon kellemetlenek, problémát okozhatnak a társas kapcsolatokban is.

Jelenleg nem gyógyítható a betegség, de vannak a tünetek enyhítésére irányuló terápiák és egyre több kutatás foglalkozik ezzel a betegségcsoporttal.

Nagyon fontos az orvosok továbbképzése a korai diagnózis érdekében, hiszen a tünetek sokoldalúak és összetettek. Minél hamarabb ismerik fel a betegséget, annál hamarabb kaphatják meg a betegek a számukra megfelelő ellátást annak érdekében, hogy a betegség előrehaladása akár jelentős mértékben is lelassuljon, és az érintett minél teljesebb életet élhessen.

 

Egyszerű szöveg

  • A HTML jelölők használata nem megengedett.
  • A webcímek és e-mail címek automatikusan kattintható hivatkozásokká alakulnak.
  • A sorokat és bekezdéseket a rendszer automatikusan felismeri.