Ínyproblémák – Plakk-képződés, gingivitis, periodontitis

Ingyulladás képe
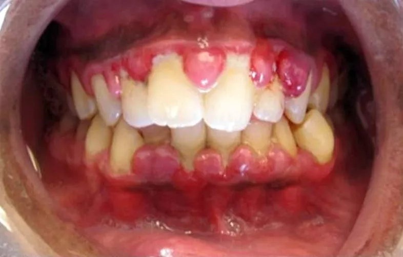
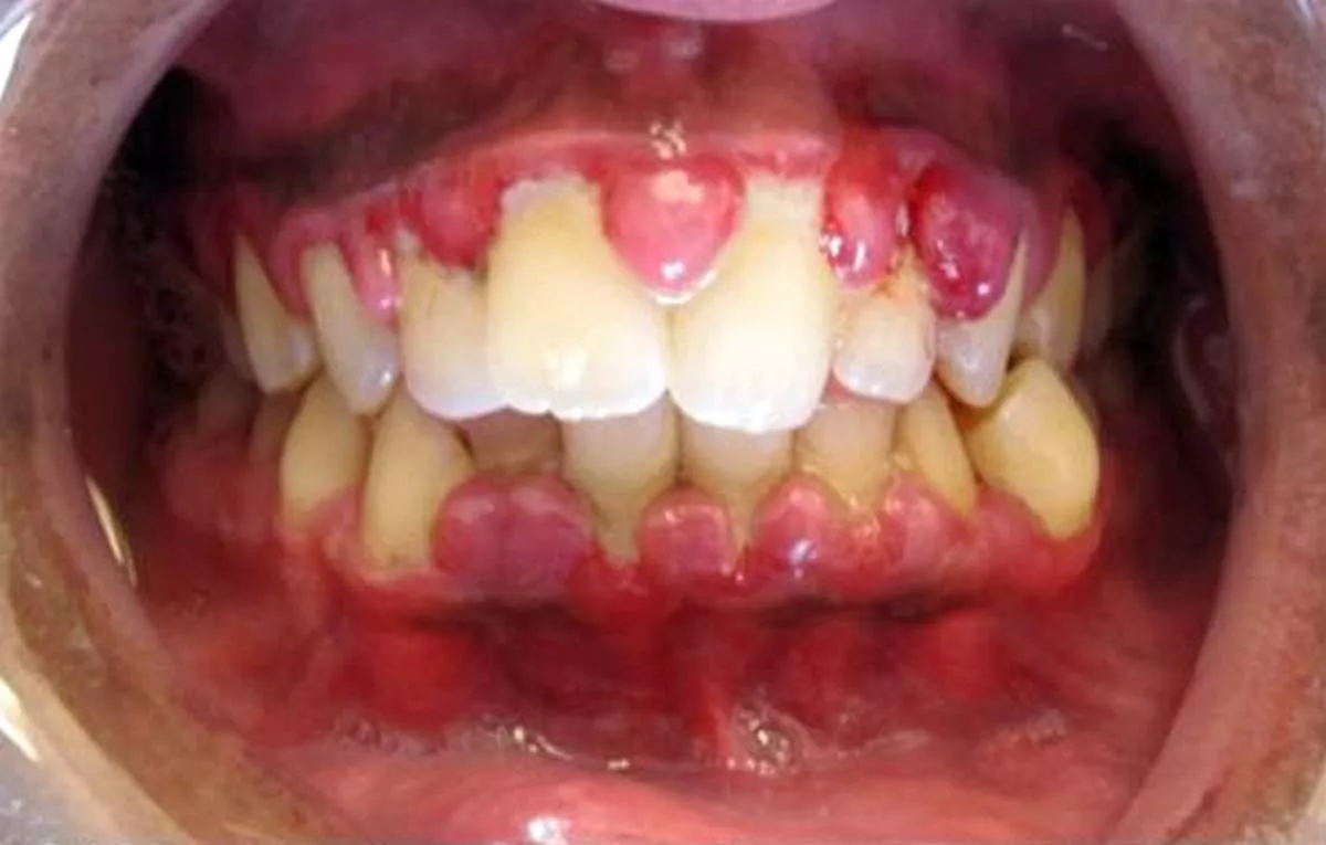
Súlyos gingivitis hiperpláziával (szerző: Lesion, liszensz: CC BY-SA 3.0, Wikimedia Commons)

A gyulladásos ínybetegségek a fogszuvasodással együtt a széles körben elterjedt betegségek közé tartoznak. Az étkezés után a szájüregben felhalmozódó plakk által kiváltott ínygyulladás szinte minden korcsoportban megtalálható.

Az egészséges íny és a plakk-képződés

Az egészséges szájban az ínyszélt a foggal összekötő hámszövet védi a fogágyat, épsége elengedhetetlenül fontos a fogágy egészségének megőrzéséhez, mivel közvetlenül a fog felszínéhez kapcsolódik, és védelmet nyújt az ételmaradékok és a fogágyban található baktériumok ellen.

A plakk-képződés az étkezések természetes velejárója, mindennapos dolog. A plakkbaktériumok előszeretettel szaporodnak a hasadékokban, a fog és a fogínyszél közötti területeken. Ezek a területek fogkefével nehezen elérhetőek, így fogmosás során gyakorta nem tisztítjuk meg ezeket megfelelően.

Ha a plakkot rendszeresen nem távolítjuk el, akkor a fogínyszél begyullad. A plakkban található baktériumok, azok anyagcseretermékei és a bakteriális toxinok beindítják a szervezet védekezőmechanizmusait, és gyulladásos sejtek jelennek meg az ínyben, hogy elpusztítsák a fertőző baktériumokat.

A gyulladás következtében a fog és az íny közötti védőhám visszahúzódik, és úgynevezett tasakok képződnek. Ez az állapot lehet a kiindulópontja a két leggyakoribb fogágybetegség - az ínygyulladás és a gyökérhártya-gyulladás kialakulásának.

Ínygyulladás – gingivitis

A gingivitis az íny gyulladásos megbetegedése. A fogágy más részei, mint például a csontszövet, még nem érintettek. Az ínygyulladás kialakulásában különböző tényezők játszhatnak szerepet: plakk, vírusok, illetőleg hormonális okai is lehetnek. Az ínygyulladást leggyakrabban azonban a plakkbaktériumok okozzák.

Hogyan ismerhető fel az ínygyulladás?

Az egészséges fogíny nem vérzik. A fogínygyulladás első jele, ha a fogmosás során az íny vérezni kezd. Később az íny pirossá és duzzadttá válik. A fogínygyulladás ebben a szakaszában még nem jár fájdalommal, és általában nem is tudatosul.

Amennyiben az irritált fogínyt nem kezelik, elkezd visszahúzódni, kialakul az ínysorvadás. A fog és az íny között lévő kötőszövet elpusztul, és kis tasakocska alakul ki a fognyak és az íny között.

Ekkorra az ínygyulladás már jelentős mértéket ölt. A beteg ínyvérzésre, fájdalomra, és/vagy rossz leheletre panaszkodik. Kialakult tehát a gingivitis.

A krónikus gingivitis jellegzetes tünetei: vérzés, duzzanat és a vörös íny. Amennyiben nem teszünk ellene semmit, a gyulladás egyre mélyebbre és mélyebbre terjed. A baktériumok könnyen elszaporodnak a fogínytasakban.

A szöveti folyadékból és a vérből ásványi anyagok épülnek be az íny alatti plakkba és fogkő képződik; a fogínytasak mélyül, és a gyulladás előrehalad. A beteg egy ördögi körbe kerül. A fog fokozatosan meglazul, és végül ki is eshet.

Gyökérhártya-gyulladás – periodontitis

A periodontitis a fogat körülvevő szövetek gyulladásos megbetegedése. Jellemző rá a gyökérhártya kiterjedt pusztulása, illetve az ínytasakképződés vagy a csontszövet leépülése. Amennyiben a betegséget nem kezelik, az a fog elvesztésével járhat. A periodontitis krónikus ínygyulladásból is kialakulhat (az esetek 10-15%-ban).

A betegnek hosszú ideig lehet krónikus ínygyulladása anélkül, hogy gyökérhártya-gyulladás alakulna ki. Ha a periodontitist nem kezelik, a beteg elveszítheti az érintett fogat.

A fogínygyulladás megelőzése és kezelése

A fogínygyulladás megelőzésének és kezelésének leghatékonyabb módja a plakk mindennapos, alapos eltávolítása. Sajnálatos módon sokan nem elég gondosan és nem megfelelő ideig mossák fogaikat, így gyakran plakk-reziduumok maradnak vissza. Ezért a szájöblítők és a fogkrémek használata - melyek aktív összetevőket, pl. a klinikailag igazoltan igen hatékony aminfluorid és ónfluorid kombinációját tartalmaznak a megmaradó plakkok hatástalanítására - ajánlatos.

Ennek az úgynevezett kémiai plakkgátlásnak hatékonynak kell lennie a kórokozó baktériumokkal szemben, anélkül, hogy károsítaná az egészséges, fiziológiás szájflórát. Ugyanakkor nem lehet mellékhatása, és a jótékony hatását hosszú időn át meg kell őriznie.

A megelőzés egyszerű!

A fogínyproblémák elsődleges okát a plakkok (felhalmozódott baktériumtelepek) jelentik, melyeket a megfelelő eszközökkel és jó szájhigiéniával meg lehet szüntetni. A legfontosabb a jó tisztítási technika, mellyel minden plakk-maradványt el lehet tüntetni a fogakról, különös tekintettel az ínyszélekre.

Nagyon fontos még ezenkívül a fogközök naponta történő alapos tisztítása, és végül, de nem utolsósorban a megfelelő hatékonyságú, kifejezetten fogínyproblémák kezelésére kifejlesztett fogkrém használata. Ilyen alapos kezelés mellet még a hosszabb ideje gyulladt fogíny is képes regenerálódni.

A helyes fogmosás titka

A helyes fogmosás célja, hogy a lepedék teljes és időben történő eltávolításával megelőzzük fogaink megbetegedését, csillogóvá tegyük fogainkat, és üdévé a leheletünket. Ehhez szükségünk van megfelelő fogkefére és fogkrémre.

A fogak kíméletes tisztántartásához legjobb a kisebb fejű, puha vagy középkemény sörtéjű fogkefe, a fogszuvasodás elleni védelem biztosításához használt fogkrém pedig mindenképpen tartalmazzon fluoridot. Leghatásosabb fogszuvasodás elleni védelmet klinikai vizsgálatok alapján a szerves eredetű aminfluorid biztosít a fogaink számára.

 

forrás: archívum
(Patika Tükör – 040915)

Egyszerű szöveg

  • A HTML jelölĹ‘k használata nem megengedett.
  • A webcĂ­mek Ă©s e-mail cĂ­mek automatikusan kattinthatĂł hivatkozásokká alakulnak.
  • A sorokat Ă©s bekezdĂ©seket a rendszer automatikusan felismeri.