A mellkaskimeneti szindróma

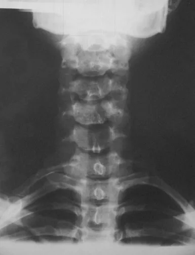
Nyaki borda röntgenfelvételen
Nyaki bordák a hetes, egyoldali a hatos nyakcsigolyán

A mellkaskimeneti szindróma (TOS – Thoracic Outlet Syndrome) gyűjtőfogalom, mely több ideg-érrendszeri kompressziós kórképet foglal magába a nyak-vállöv területén.

A karfonat a nyaki ötös, hatos, hetes, nyolcas, valamint az egyes háti gyökből összefonódva halad a gerinc mellett a felső végtag felé. A kulcscsont felett három kötegbe rendeződve folytatják útjukat a csontok és izmok által határolt szűk scalenus hasadékon, valamint nyaki „háromszögeken” keresztül létfontosságú erek társaságában.

A TOS kialakulását befolyásoló tényezők

A nyak-vállizmok tartós terhelése, a felkar huzamos távolított-felemelt igénybevétele egyaránt fokozza a nyakizmok tónusát, görcskészségét. A megvastagodott scalenus nyakizmok beszűkítik az általuk határolt hasadékot. Az elváltozás mértékétől függően nyomás alá kerülhet a karfonat (plexus brachialis), továbbá a kulcscsonti artéria és véna (a. et. v. subclavia). A következmény: fonákérzések, karfájdalom, izomsorvadás, bénulás, felső végtagi keringési zavarok.Rontja az állapotot a tónusfokozódással járó neurológiai betegségek jelenléte, az izmok meszesedésével járó myositis ossificans, a trigger pontok fokozott érzékenységével járó fibromyalgia, vagy lágyrészreumatizmus.

A csontos mellkas és a gerinc veleszületett fejlődési rendellenességei közül a nyaki borda, a hetes nyakcsigolya hosszabb harántnyúlványa és a scoliosis (gerincferdülés) okozza a legtöbb panaszt.
További costoclaviculáris (I. borda és kulcscsont közötti) rést szűkítő tényezők a süllyedt, „lógó” váll, tartási hibák ( m. subclavius hipertrófia), ülő életmód, aszténiás alkat, stressz, korábbi kulcscsonttörés, bordatörés.

A thoracic outlet tünetcsoport típusai

Scalenus szindrómában a karfonat az artéria subclaviával együtt kerül kompresszió alá a scalenus hasadékban. Érzés-, mozgás- és vegetatív idegrendszeri zavarokat okoz. Tesztelhető az úgynevezett Adson-manőverrel, mely szerint a fej hátra szegésére és az érintett oldalra fordítására, valamint egyidejű, mély belégzésre a radiális pulzus gyengül, adott esetben eltűnik.

A costoclavicularis szindróma lényege, hogy az előző képletek együtt kerülnek nyomás alá a costoclaviculáris résben. Szensoros, motoros és vegetatív idegrendszeri zavarokat, valamint – a véna érintettség okán – alkar- és kézfejödémát okoz. Wechsler-próbával teszteljük: a váll le- és hátrafeszítésekor a radiális pulzus gyengül vagy megszűnik, és a kézbe kínzó fonákérzések sugároznak.

Az ún. hiperabdukciós szindróma esetén a huzamos ideig emelt-távolított kar (szobafestők, takarítók) helyzete olyan, hogy a megfeszült kis mellizom (m. pectoralis minor) ina a lapocka felül-elöl lévő hollócsőrnyúlványához (processus coracoideus) nyomja az alatta elfutó ideget. Provokálni hiperelevációs kartartással lehet, a radiális pulzus gyengül vagy megszűnik, és a kézbe szintén kínzó fonákérzések sugároznak.


Gyakori panaszok, tünetek

  • alkar gyengesége, erőtlensége, fájdalma, fáradékonysága
  • nehezen fésülködik
  • kéz használatának korlátozottsága jellemző
  • kéz izmai fáradékonyak, a kéz szorítóereje csökkent, erőtlen
  • nyakból a felső végtagba sugárzó fájdalom a nyak mozgatására
  • terhelést követő felső végtagi fájdalom az egyik oldalon
  • égő fájdalom a felső végtag területén, a kéz ulnaris (kisujj oldali) területén
  • éjszaka fokozódó fájdalom az ujjakban
  • éles fájdalom az alkar és kéz ulnaris oldalán
  • a hüvelykujj- és a kisujjpárna izomzata sorvadt
  • kézközépcsontok közti izmok sorvadtak, behúzódás látható
  • nem tudja hajlítani az ujjait
  • nem tudja kinyújtani a gyűrűs- és a kisujját
  • felső végtagi zsibbadás a kar felső helyzetében, a kar mozgatásakor és nyugalomban
  • zsibbad a gyűrűsujja, kisujja
  • kisujjterpesztés gyengült
  • nem tudja a hüvelykujj proximalis percét hajlítani
  • nyújtott kézujjak hajlítása a MCP ízületben gyengült
  • hidegben ujjai elfehérednek, majd ellilulnak, végül kipirulnak
  • a kéz rohamokban jelentkező, fájdalmas elfehéredése majd kipirulása
  • bizsergő, duzzadt kézfej, hideg alkar
  • túlérzékenység az alkar külső oldalán
  • érzéscsökkenés a kézen
  • érzéscsökkenés az alkar belső oldalán


A mellkaskimeneti szindróma modern kezelési lehetőségei

A nyaki borda és a hetes nyakcsigolya oldalsó nyúlványának sebészi eltávolítását egyértelműen bizonyító radiológiai lelet birtokában, a fennálló keringési és idegrendszeri elváltozások alapján indokolt elvégezni, mérlegelve a műtéti sebzés gyógyulása során keletkező hegszövet esetleges térszűkítő hatását.

Törekedni kell a konzervatív kezelési gyógymódok korai alkalmazásával a folyamat progressziójának fékezésére. Nyújtó, trakciós, extenziós kezelések jó hatásúak, mivel a felső végtag első számú spazmusoldó ingere a nyújtás.
Arndt-Schutz szabály: az aktív funkcionális kezelés nem hoz eredményt, ha a kelleténél kisebb, avagy nem adekvát regenerációs ingert alkalmazunk. Ha túl erős az inger, az káros következményhez vezet.
A szöveti regeneráció alapja a saját specifikus inger: az izomnak az összehúzódás, a csontnak a terhelés, az ínnak a feszülés, a porcnak a nyomás.
Az ingerelhetőséget az aktuális állapot határozza meg, melyet tapasztalati úton, vizsgálattal határozunk meg.

Speciális, kombinált légzés-, tartásterápia a Zilgrei módszerrel. A vállövi régió tónusát a „kakukk-”, a „búbos vöcsök-”, a „pinty-” és az „arany kakukk” gyakorlat rendezi. A nyaki terület fájdalmai a „hattyú-”, a „vörösbegy-” és a „seregély” gyakorlattal szüntethetőek meg.

Zilgrei gyakorlat kivitelezése: a mozgást neutrális helyzetből indítjuk, belégzést követő öt másodperc lazítással. Kilégzésre végezzük a megtanult mozdulatot a fájdalommentes oldalra. Öt másodpercig tartjuk meg a testhelyzetet. Belégzéssel visszatérünk a kiinduló helyzetbe, újabb öt másodpercnyi szünet. Ötször ismételjük. Napi háromszor végzett, alkalmanként öt-hat perces Zilgrei tornával megelőzhető a mozgásszervi, keringési panaszok elfajulása.

További lehetőségek

  • Mulligan manuálterápia az ízületen belüli és kívüli lágyrészek ellazítását segíti, helyreállítja az ízületi játékot, ízületi mozgékonyságot.
  • Speciális idegmobilizációs technika nyújtja, ellazítja a rugalmatlan idegeket.
  • Autogén tréning a mozgásszervrendszer ellazítását, a vegetatív idegrendszer „ideges” hullámainak elsimítását szolgálja.
  • A Peter Hess nevével fémjelzett hangtálterápiás meditáció relaxálja az izomzatot, javítja a keringést, a szöveti vérátáramlást.
  • A Kinesio Tape kezelés az izomfunkció helyreállítását célozza.
  • A Dorn terápia a tartáshibákat korrigálja.

 

Váliné Fekete Szilvia
gyógytornász, egészségügyi szaktanár

További információkat itt talál.

Egyszerű szöveg

  • A HTML jelölők használata nem megengedett.
  • A webcímek és e-mail címek automatikusan kattintható hivatkozásokká alakulnak.
  • A sorokat és bekezdéseket a rendszer automatikusan felismeri.