Tüdőbiopszia
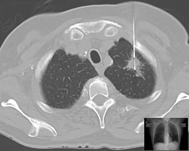
CT-vezérelt biposzia tüdő rosszindulatú elváltozásra gyanús képletében. A jobb alsó sarokban a rétegfelvétel magassága látható.
Forrás
Hellerhoff, liszensz: CC BY-SA 3.0 (Wikimedia Commons)
Kategória
Közzétéve: 2020. 11. 11. 17:48
