A tüdőrák és a dohányzásellenes szervezetek világszerte minden év novemberében tartják a Tüdőrák Hónapját, hogy felhívják a figyelmet a tüdőrákot okozó tényezőkre és a betegség elleni küzdelem szempontjaira, szerepére. A tüdőrák továbbra is a leggyakrabban előforduló rákbetegség.
A tüdőrák magyarországi előfordulási és halálozási adatai közismerten igen kedvezőtlenek: 2016-ban az Európai Unió országai közül Magyarországon volt a legmagasabb a lakosság számához képest a tüdőrák okozta halálozás (90,1 haláleset 100 000 lakosra vetítve).
Ugyanakkor egyre több ismeretünk van a betegségről, annak típusairól, okairól, és a megelőzés lehetséges módjairól. Az idei Tüdőrák Hónap kiemelt fontosságú üzenete, hogy több információval több életet lehet megmenteni: a szakemberekhez a legújabb tudományos eredményeket kell eljuttatni, a betegek és a veszélyeztetettek számára pedig a megelőzés módjait és a korai diagnózis jelentőségét kell megismertetni.
A tüdőrákos megbetegedések mintegy 90%-ának hátterében a dohányzás lehet*, és több mint kétszer nagyobb az előfordulása a férfiak körében, mint a nőknél. Minél korábban kezdi valaki a dohányzást és minél többet dohányzik valaki, annál nagyobb a kockázata a tüdőrák kialakulásának. Emellett fontos elmondani, hogy az erős dohányosok környezetében élő emberek is ki vannak téve a tüdőrák kockázatának. Megdöbbentőek a statisztikai adatok: a tüdőrákban szenvedő nem dohányzó betegek hozzávetőleg 17%-ánál azért alakul ki a kór, mert gyermekkorukban dohányfüstnek voltak kitéve. A budapesti óvodásoknak pedig több, mint 29 %-a passzív dohányos.
Fontos a korai diagnózis
A veszélyeztetettek köre tehát viszonylag jól leírható, és a számukra mindenképpen ajánlott a rendszeres szűrés, amellyel kimutatható a betegség már a kezdeti fázisban is, amikor még nem, vagy alig produkál tüneteket. A korai diagnózisnak különösen nagy jelentősége van, mert a tüdőrák kezdeti stádiumában még kisebb a valószínűsége az áttéteknek, így a gyógyulás esélye is nagyobb.
A tüdőráknak több mint húsz fajtája létezik, és az egyes típusok között lényeges különbség lehet a kialakulásukban, a szerkezetükben, agresszivitásukban, de abban is, hogy a rendelkezésre álló gyógyszerek miként hatnak rájuk.
Milyen tünetekre kell odafigyelni?
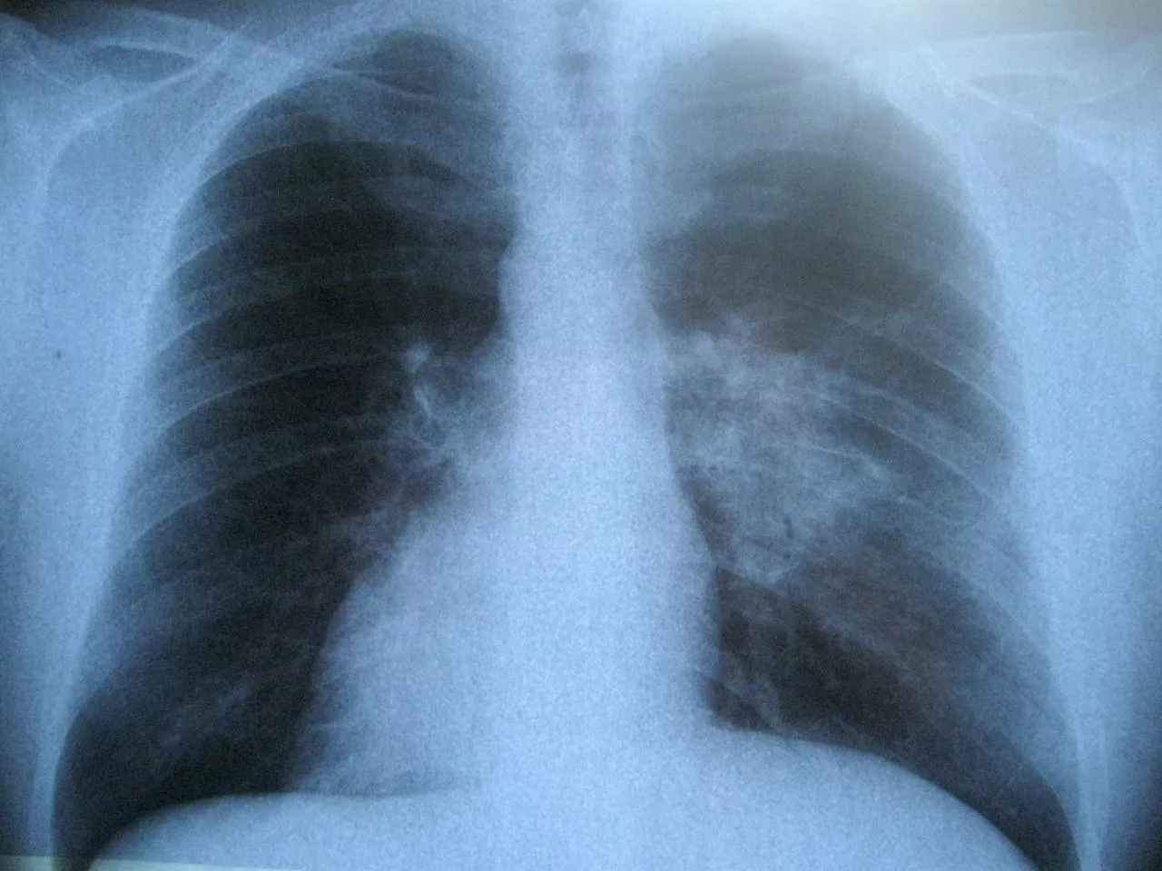
A tüdőrák tünete lehet újonnan jelentkező köhögés, véres köpet a köhögés után, légszomj, mellkasi fájdalom. Később, a betegség előrehaladtával más tünetek is jelentkezhetnek, így pl. fogyás, fáradtság, elhúzódó tüdőgyulladás, fájdalom a test más részeiben, vérszegénység. A tünetek bármelyikének előfordulásakor haladéktalanul orvoshoz kell fordulni. Általában a háziorvoshoz kerülnek a tüdőrákra utaló tünetekkel a betegek, és gyanú esetén a háziorvos utalja őket szakorvoshoz, ahol további vizsgálatokkal – pl. MRI, szövettani vizsgálat – állapítják meg, hogy az adott beteg esetében tüdőrákról van-e szó.
A dohányzás a legfőbb oka a tüdőrák kialakulásának
Mivel a tüdőrák okai között a dohányzás kiemelt helyen szerepel, a tüdőrák elleni harc egyik legfontosabb és leghatékonyabb eszköze a dohányzásról való leszokás. A dohányosok nagy része már túl van néhány sikertelen leszokáson, és emiatt lehet, hogy kisebb meggyőződéssel határozzák el magukat egy újabb kísérletre. Holott azoknak, akik sikerrel letették a cigarettát, a nagy többségük csak többszöri nekifutásra jutott el a leszokásig. A környezet - rokonok, barátok, kollégák – támogatásának, ösztönzésének különösen nagy szerepe lehet a leszokás sikerességében, de abban is, hogy a veszélyeztetett csoportokba tartozó ismerősüket meggyőzzék a rendszeres szűrés szükségességéről.
A tüdőrák okai között a légszennyezettség rohamléptekkel zárkózik fel a dohányzáshoz. (szerk.)
