Malignus limfóma – eredmények és erőfeszítések

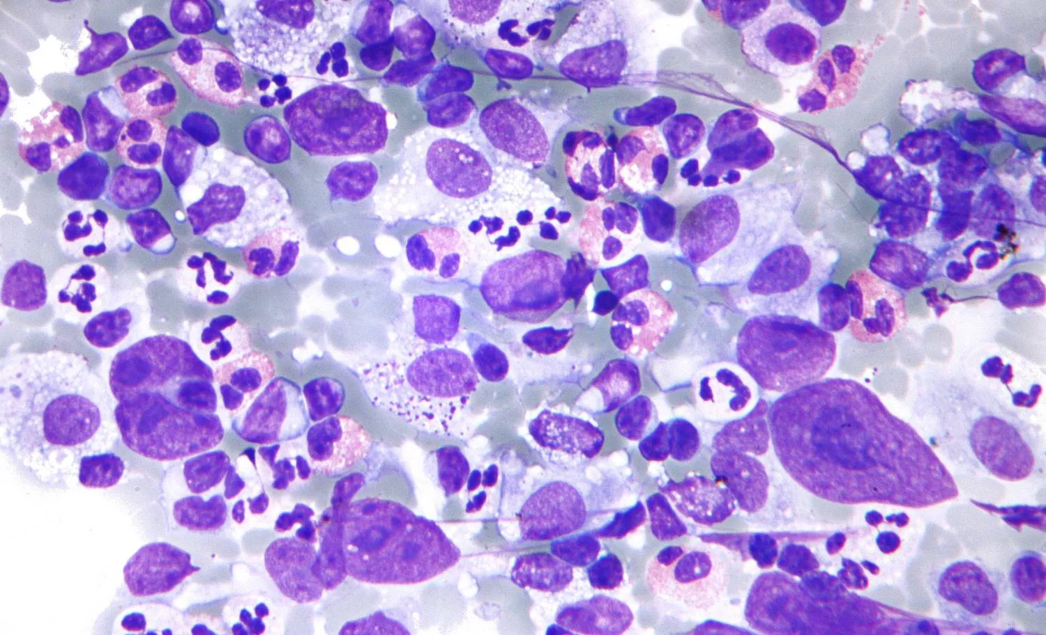
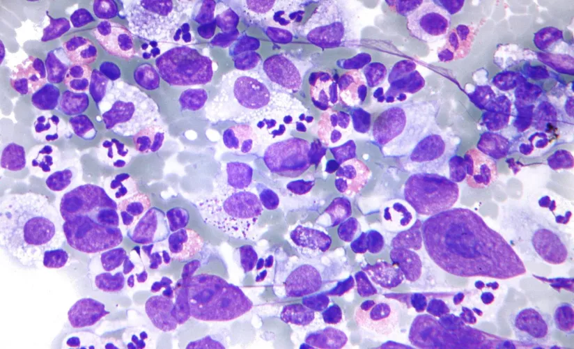
Vérkenet mikroszkóp alatt
Hodgkin-limfómára jellemző vérkenet mikroszkópos képe eozinofil garanulocitákkal, hisztiocitákkal, plazmasejtekkel, Reed-Sternberg limfocitákkal (forrás: Nephron; liszensz: CC BY-SA 3.0, Wikimedia Commons)

A limfómákat kezelő hematológus szakorvosok egyre újabb kihívásokkal néznek szembe az ismeretanyag bővülése miatt. A mai korszerű WHO revízión alapuló pathológiai osztályozás még mindig tartalmaz apró bizonytalanságokat, melyeket fokozatosan próbál a szakma megoldani, tisztázni.

A biológia és molekuláris biológia rohamléptékű fejlődésének köszönhetően ma már pontos adatok állnak rendelkezésre a malignus limfoid sejttípusokról. A génexpressziós cluster analízis segítségével az alapvető sejtfolyamatok vizsgálhatóak, az eddig homogénnek tűnő betegségek egymástól teljesen eltérő mintázatot adtak, igényelve egyre pontosabb, újabb csoportosításokat.

Ez azért fontos, mert a pontos sejttípus meghatározása jó prognosztikai értékű, meghatározza, hogy a beteg pontosan milyen kezelést fog igényelni. Ez lenne részben az alapja a betegségre és személyre szabott kezelésnek, mely elv ma egyre inkább érvényesül a betegek kezelése során. Ezt az elvet azonban a patológiai besoroláson túl nagyban segíti a betegség stádiumának pontos meghatározása.

Az eddig is alkalmazott csontvelővétel és kontrasztos CT vizsgálatok mellett ma már a 18FDG PET-CT vizsgálatok egyre nagyobb hangsúlyt kapnak, sőt ma már a Cheson nemzetközi kritériumrendszer alapját képezik. Ez azt jelenti, hogy gyógyult betegséget – komplett remissziót – csak negatív PET-CT esetén lehet kimondani sok esetben.

Ugyanakkor a kezelés során még mindig előfordul, hogy a betegség nem a várt módon reagál. Ennek korai felismerése rendkívül fontos, mivel ilyen esetekben a korán elkezdett nagydózisú kezelés hatására érhető el a legnagyobb arányú gyógyulás. Ebben napjainkban a betegség terápiakövetése fontos, amit a rendelkezésre álló PET-CT vizsgálattal tudunk végezni, olyan módon, hogy 2-3 kemoterápiás kezelési ciklus után megismételve a vizsgálatot egyértelműen látszik a kiindulási viszonyokhoz képest a változás, ami prognosztikai jelentőséggel bír sok esetben.

Mindezen vizsgálatok, diagnosztikai módszerek azonban csak segítik a terápiát, melynek alapja még ma sem változott. A betegek döntő többsége polikemoterápiás kezelést kap, de ezt ma már sok esetben ki tudják egészíteni monoklonális antitest kezeléssel. (anti-CD20, anti-CD52). Az így kapott eredmények betegségenként változó mértékben, de 5-20%-al emelhetik a várható 5 éves túlélést. Legelőször a follicularis limfóma és diffúz nagy B-sejtes limfóma esetén alkalmazhatták az anti-CD kezelést, ami azóta már bevethető krónikus limfoid leukémia esetén is.

Az egyes limfóma típusok gyógyulási esélye változó. Hodgkin-kórban ma már 85-90%-os gyógyulási arányt lehet elérni. Ez a siker azonban megváltoztatta a szemléletet. Ma már a normális populáció életminőségét megcélozva a kezelés késői szövődményeit próbálják csökkenteni, befolyásolni. Ugyanakkor az egyes betegségek kezelési elveit nagyszámú betegen elvégzett nemzetközi (multicentrikus) vizsgálatok statisztikailag feldolgozott eredményei határozzák meg.

Az egyre újabb gyógyszerek fejlesztése rendkívül drága és időigényes folyamat, amit a gazdaság sokszor nehezen tud finanszírozni. A sok sikeres kezelés mellett még ma is vannak olyan limfóma típusok, melyek kezelése nem megoldott. Itt nagyon fontos az újabb támadáspontú gyógyszerek folyamatos keresése, kipróbálása tanulmányok keretében.

A nemzetközi adatok rendelkezésre állnak, és nagyon fontos, hogy a honi statisztikák is ismertek legyenek, törekedve arra, hogy a hazai helyzet ne különbözzék a nemzetközitől az elérhető terápiák és a kezelési eredményesség tekintetében. Fontos továbbá a betegség korai felismerése, ezért a családorvosok és nem hematológus szakorvosok számára tartott továbbképzések jelentősége felértékelődik a jelenlegi és a szakterület napról-napra növekvő ismeretanyagának, legújabb eredményeinek átadásában.

Egyes betegségtípusokban szükséges és bizonyítottan eredményes kezelés az autológ őssejtátültetés. A sokéves tapasztalat mellett a korszerű diagnosztika és a széles terápiás fegyvertár azt eredményezte, hogy napjainkban ez már rutin beavatkozásnak számít, mely komplikáltabb esetekben is gyógyulást, vagy hosszabb betegségmentes túlélést eredményez.