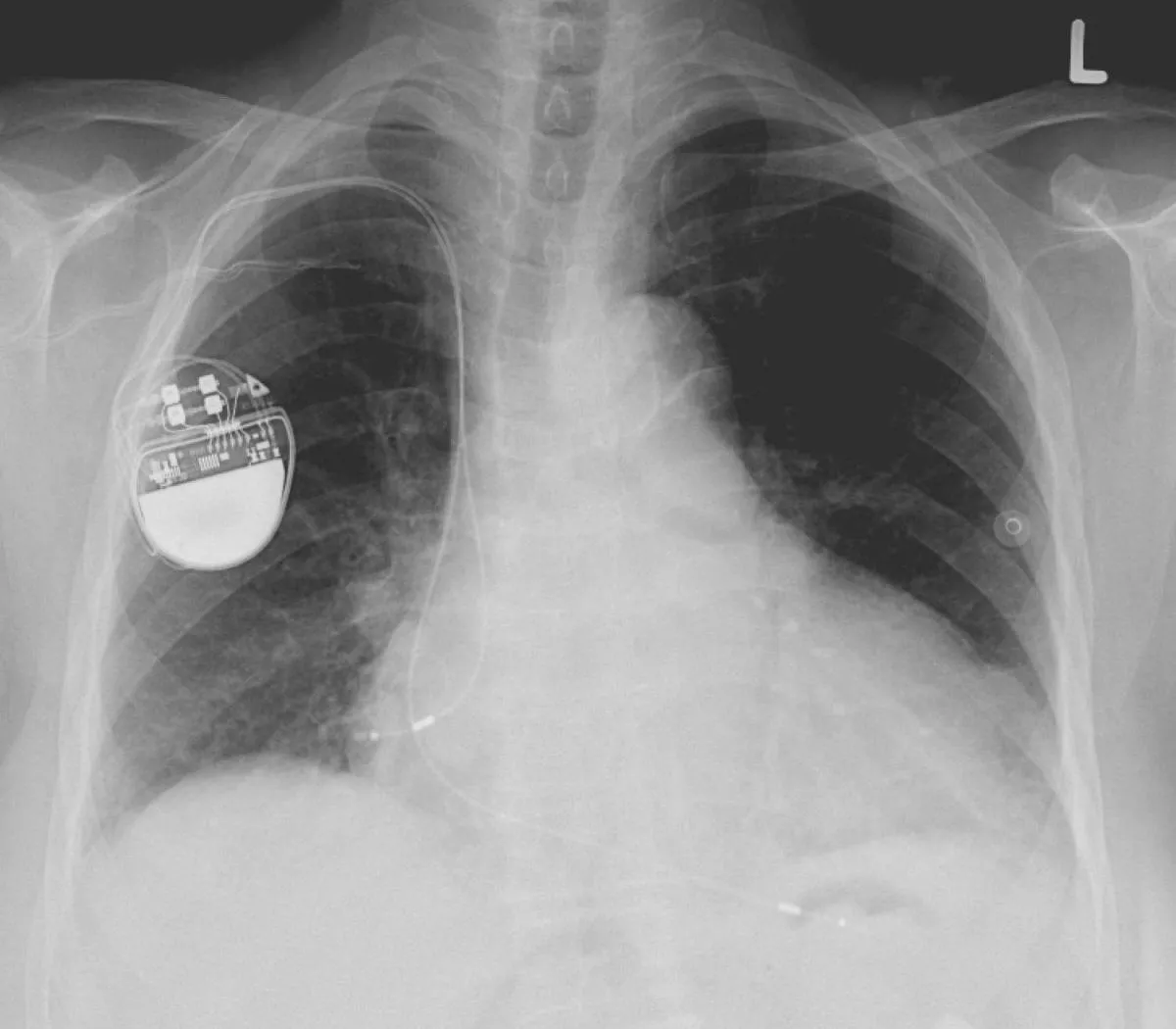
Beültetett pacemaker
Beültetett pacemaker (szívritmus-szabályozó készülék) mellkasi röntgenfelvételen.
Forrás
              Lucien Monfils; liszensz: CC-BY-SA (Wikimedia Commons)
          Kategória
              
          Közzétéve: 2016. 04. 23. 14:51
 
     
