Ritka betegségeknek hívjuk azokat a betegségeket, amelyek előfordulása a népességben kevesebb, mint 1/2000, azaz kétezer emberből legfeljebb egyet súlyt.
Azonban több ezer ilyen betegséget tartanak nyilván, amelyek együttesen már jelentős részét érintik az embereknek – ezért is hívják fel a figyelmet február utolsó napján a ritka betegségekre.
2020 szökőév, így idén az a ritka, csak négyévente előforduló helyzet állt elő, hogy február 29-re esik a Ritka Betegségek Világnapja. Bár a ritka betegségek mindegyike világszerte csak igen kevés embert érint, ha a ritka betegségek összességét nézzük, akkor 300 millió emberről beszélünk!
Magyarországon a ritka betegséggel élők száma meghaladja a 700 ezret, és ezzel az egyik legnagyobb betegcsoportot képezik az érintettek a szív- és érrendszeri megbetegedésekben szenvedők mellett. A ritka betegségekre jellemző, hogy kevés ismerettel rendelkezünk róluk, lényegesen kisebb erőforrások jutnak a kutatásukra, mint a gyakoribb betegségek esetében és sokszor a felismerésük is nehézségekbe ütközik. Ugyanakkor e betegségek a legtöbb esetben az életminőség és az életkilátás jelentős romlásával járnak.
A szkleroderma közel 2000 embert érint
A szkleroderma is a nehezen felismerhető ritka betegségek közé tartozik, a magyarországi előfordulások számát a szakemberek 1500 – 2000 közöttire becsülik, világszerte pedig mintegy 2,5 millió betegről beszélhetünk. A betegség kialakulásának oka egyelőre ismeretlen. Jellemzően a 25. és 55. életévük közötti nőket támadja meg, akiknél addig semmilyen előjele nem volt a betegségnek – erejük teljében lévő, aktív emberekről van szó, akiknek a betegség diagnosztizálása után az addigi életük csaknem minden szegmensét át kell tervezniük.
Többféle típusa létezik
A szkleroderma krónikus, hosszú lefolyású autoimmun betegség, amelynek két fő típusa létezik: a lokalizált típus - mely főként a bőrre korlátozódik - és a szisztémás típus - amely szisztémás szklerózis néven is ismert - a szervezet kötőszöveteit is megtámadja, a belső szervekben gyulladást és hegesedést okozva. A szisztémás szklerózis súlyosabb, úgynevezett diffúz formájánál gyakori a belső szervek érintettsége és az érintett szervek működésének zavarai pedig komoly mértékben ronthatják a beteg életminőségét.
A tünetektől a diagnózisig
A szkleroderma felismerése sok esetben nehéz, mert a tünetek könnyen összekeverhetőek más betegségek tüneteivel. Jellemző első tünet, hogy az ujjakban és a végtagokban hidegség-érzet keletkezik, a betegnek szinte mindig fázik a keze. Az ujjak vége váltakozva fehér és kékeslila színű, melyek gyakran puffadttá is válnak. Sok esetben bőrgyógyász vagy reumatológus szűri ki a betegséget. Az első tünetek jelentkezhetnek a tüdő érintettsége miatt is, ilyenkor a beteg enyhébb vagy akár súlyosabb légszomjat tapasztal. A diagnózis után a lehető leghamarabb tisztázni kell a betegség típusát és a belső szervi érintettséget, mert ez határozza meg az alkalmazandó terápiát. A pontos diagnózis felállításához több különböző szakember – általában reumatológus, immunológus, kardiológus, bőrgyógyász, tüdőgyógyász, gasztroenterológus – együttműködése szükséges.
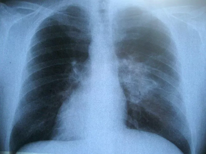
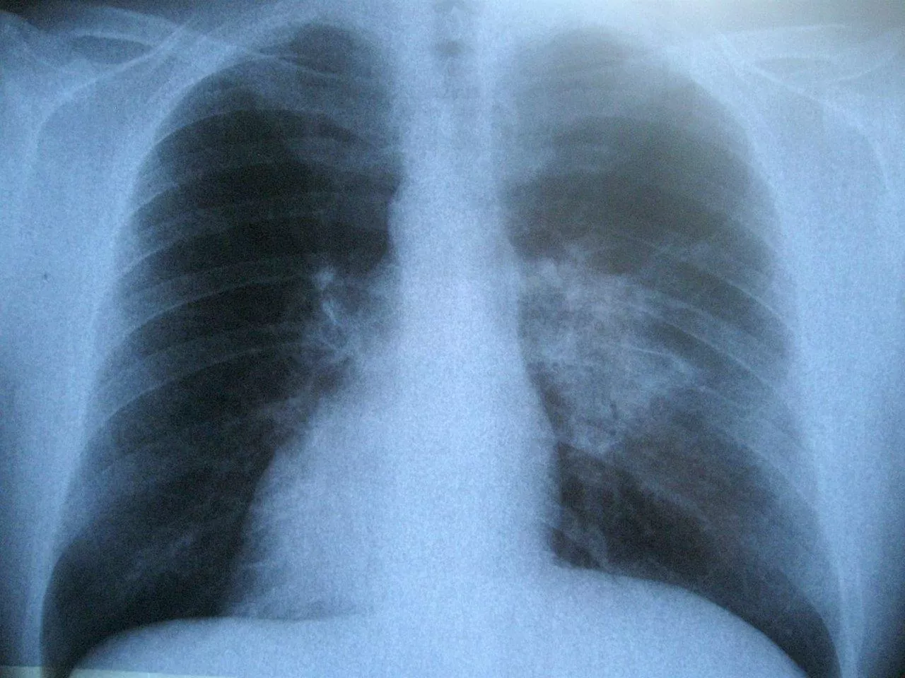
Ha a tüdőt is megtámadja a betegség, hegesedés és gyulladás alakul ki a léghólyagokban, a tüdő merevvé válik és sokat veszít a kapacitásából. A betegnél nehézlégzés, rendszeres száraz köhögés alakul ki.
A szisztémás szklerodermában szenvedő betegeknél a leggyakoribb halálok a tüdő nagyfokú érintettsége, ezért az egyik legfontosabb vizsgálat a szklerodermával kapcsolatban erre a szervre terjed ki. Először légzésfunkciós vizsgálattal, ha pedig szükséges, nagy felbontású CT-vel deríthető ki a betegség fennállása. Autoimmun betegség lévén, az alapkezelés immunszupresszív, azaz az immunrendszert befolyásoló beavatkozás, melyet kiegészíthetnek különböző más kezelések is, szervi érintettségtől függően.
Mit lehet tenni?
A korai felismerésnek és a jól beállított kezelésnek meghatározó szerepe lehet a betegség lefolyásában, vagyis a beteg életkilátásának alakulásában, hiszen így lehet az állapotromlást hatékonyan lassítani. Nagyon fontos, hogy már az első tüneteknél – a hideg és/vagy puffadt ujjak, illetve légszomj esetén – forduljunk orvoshoz, aki meg tudja állapítani, hogy fennáll-e a szkleroderma gyanúja és hogy szükség van-e újabb vizsgálatokra.
A betegeknek amellett, hogy meg kell küzdeniük a diagnózissal, a betegség tudatával, a mindennapok átszervezésének nehézségeivel, sokszor még az előítéletek is nehezítik a napjaikat. Kevesen tudják ugyanis, hogy a szkleroderma nem fertőző betegség.
Ha a betegek vagy a hozzátartozók pontos és megbízható információhoz szeretnének jutni a betegségre vonatkozóan, érdemes felvenni a kapcsolatot betegszervezetekkel, amelyek nagyon sokat tesznek az ismeretek terjesztéséért és a betegek megfelelő érdekképviseletéért. Az Országos Scleroderma Közhasznú Egyesület (http://www.szkleroderma.hu/) és a RIROSZ (Ritka és Veleszületett Rendellenességgel élők Országos Szövetsége, http://www.rirosz.hu/) rendszeresen szervez előadásokat, egészségmegőrző programokat.
