Mélyvénás trombózis – A néma gyilkos

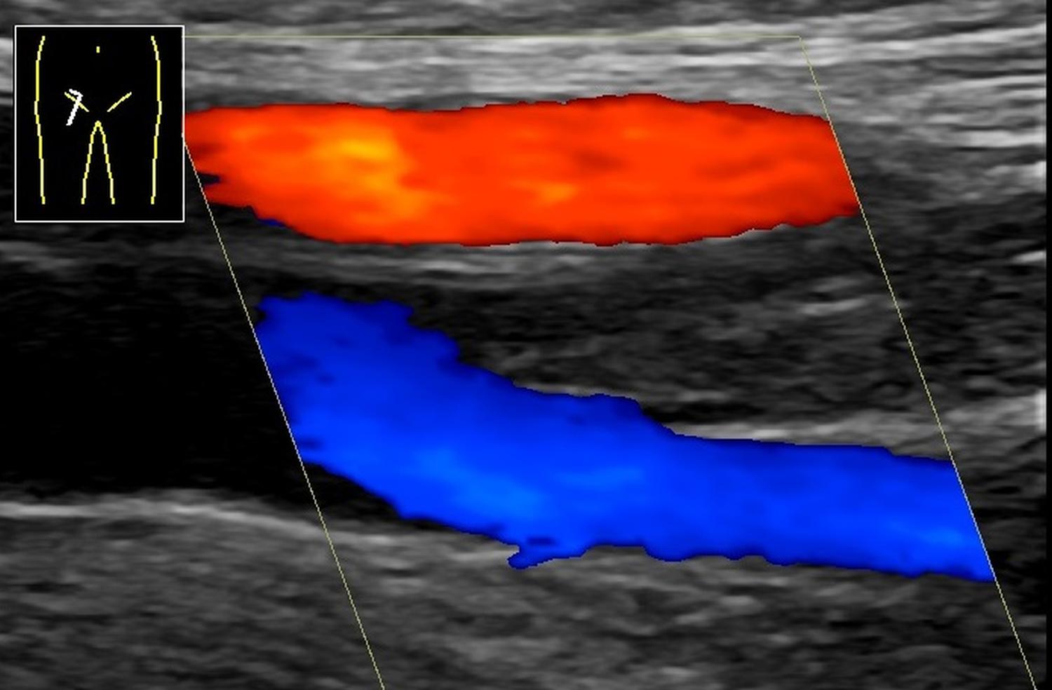
Mélyvénás alsó végtagi trombózis (comb, doppler ultrahangfelvétel)
A combartéria (piros) alatt az elágazó combvéna (kék) trombózisa. A színes területeken akadálytalanul folyik a vér, a köztük lévő, elágazás utáni szakaszon látható a trombus okozta elzáródás. (doppler ultrahang; szerző: Mikael Häggström, M.D., Wikimedia Commons nyomán)

A betegséget azért nevezik néma gyilkosnak, mert sokszor alig kísérik tünetek, de legsúlyosabb szövődménye, a tüdőembólia akár halálos is lehet. Ismerjük okait, tudjuk, hogyan védekezhetünk ellene. Mégis rengeteg áldozatot szed ma is, amikor a diagnosztikai és a terápiás lehetőségek is igen fejlettek.

Ha az alsó végtag mélyen futó gyűjtőereiben, vénáiban alakul ki egy vérrög, akkor mélyvénás trombózisról beszélünk. Az esetek körülbelül felében a mélyvénás trombózis tünetmentes. Szerencsére nem mindig kísérik súlyos szövődmények. A tünetek és a késői szövődmények súlyossága attól függ, hogy a mélyvénás rendszer mely szakaszát érinti a betegség, és milyen nagyságú szakaszt zár el a véralvadék. Minél kisebb és minél inkább a keringés széli részéhez közeli (ún. perifériás területre eső) ágat érint a betegség, annál inkább tünetmentes és kisebb a komoly szövődmények kialakulásának esélye.

A vérrög rendszerint néhány nap alatt szervül, odatapad a véna falához, és elzárja azt. Hetekkel, hónapokkal később - esetleg mellette vagy rajta keresztül - valamelyest újra átjárhatóvá válhat az ér, ami némiképp javíthat a panaszokon. De az alsó végtagi véna ezen területén lévő vénabillentyűk működése akkor is zavart szenved, ami vénás keringési elégtelenséghez és a járulékos szövődményekhez (lábdagadás, másodlagos visszértágulatok, nehézláb érzés, bőrjelenségek, lábszárfekély, stb.) vezethet.

Azonban a mélyvénás trombózisban megtörténhet, hogy a vérrög egy része vagy egésze leszakad, amit embólusnak nevezünk. Az embólus elsodródik a vérárammal, és nagy valószínűséggel a tüdőverőerek valamelyikében zárja majd el a vérkeringést. Ez az állapot a tüdőembólia, amely a vérrög nagyságától és az elakadás helyétől függően akár a beteg azonnali halálához is vezethet. Ezt a folyamatot Rudolf Virchow (1821-1902) német orvos, patológus fedezte fel, és bebizonyította, hogy a véráram különböző anyagokat tud magával sodorni, amelyek aztán más erekben fennakadnak.

Virchow azt is felismerte - s ez a mai napig érvényes -, hogy a trombózis kialakulásának három fontos hajlamosító tényezője van: a pangás, az érfal betegsége, valamint a véralvadási zavar. A lassult vénás keringés következtében pangást okoznak a visszértágulatok, a tartós ágyban fekvés (pl. betegség, műtét után), a végtagi gipsz, a bénulások. Az érfal károsodhat műtétek, sérülések következtében.

A fokozott véralvadási hajlam lehet genetikusan öröklött (bizonyos véralvadási faktorok hiánya, ún. trombofíliák), de gyógyszerek, így a hormonális fogamzásgátlók szedése is fokozhatja a trombóziskészséget. Hajlamosító tényező még az idős kor, a dohányzás, az elhízás, a rosszindulatú daganatos megbetegedések (a daganatok véralvadást serkentő anyagokat termelhetnek), a nagyobb hasi-, kismedencei- (prosztata- és nőgyógyászati), valamint ortopédiai (különösen a csípőtáji) műtétek (a sérült szövetekből szabadulnak fel a véralvadást beindító szöveti faktorok).

A lassult vénás áramlással kapcsolatosan ki kell emelni az úgynevezett economy-class szindrómát. A turistaosztályon hosszú, interkontinentális utakat repülő utasoknál, de a buszon 20-30 órát utazóknál is előforduló szindróma. Ilyenkor a vénás keringést súlyosan rontó, hosszan tartó, mozdulatlan ülő testhelyzet következtében alakul ki gyakrabban mélyvénás trombózis. Ehhez a repülőn hozzájárul még az alacsonyabb kabinnyomás, a száraz levegő és a csökkent folyadékbevitel, melynek következtében a keringő vér besűrűsödik.

Nem szabad elfelejteni, hogy a mélyvénás trombózis lehet egészen tünetszegény, sőt, akár tünetmentes is, de jelentkezhet az alábbi, sajnos gyakran nem jellegzetes tünetekkel: az alsó végtagok területén kialakuló nyomásérzékenység vagy fájdalom, lábikragörcs, érzéskiesés a lábakon, fájdalom vagy fáradtságérzés az alsó végtagban, ami ülés és a lábak felpolcolása közben enyhül, megmagyarázhatatlan melegségérzés az alsó végtagokban vagy az alhas területén, a bőr kékes elszíneződése, bőrpír kialakulása vagy bíborszínű foltok megjelenése, duzzanat, vizenyő kialakulása a végtagon (ami folyadék-felhalmozódás következménye), jellegzetes, hogy féloldali trombózis esetén a duzzanat egyoldali, csak a panaszos végtagot érinti, hirtelen kidudorodó visszerek jelennek meg az alsó végtag bőre alatt.

Klasszikus esetben, természetesen, a betegség könnyen felismerhető. Ilyenkor az érintett végtag duzzadt, fájdalmas, bőre feszes, fénylő, meleg tapintatú, esetenként kékesen elszíneződött, a felszíni vénák teltté válnak. Nem ritka, hogy általános tünetként hőemelkedés vagy láz is jelentkezik.

Mélyvénás trombózis nemcsak az alsó végtagon alakulhat ki, hanem a 2-5%-os gyakorisággal a felsőn is. Tünetei hasonlóak, gyakori a hónaljárokban végzett műtétek, a karba, kulcscsonti vénába ültetett vénás kanülök, vagy akár pacemaker-beültetés esetén.

A betegség felismerését színes Doppler-ultrahangvizsgálat, bizonyos laborvizsgálatok, és ma már egyre ritkábban, de vénás érfestés is elősegíti. A fokozott hajlam bizonyos esetekben labor- és genetikai vizsgálatokkal igazolható.

Kezelés

Amennyiben a mélyvénás trombózis gyanúja felmerül, a beteget néhány napig, a vérrög szervüléséig szigorúan fektetni kell, szállítását is csak így szabad megoldani, még a mellékhelyiségre sem mehet ki. Ennek oka, hogy mozgás közben könnyen leszakadhat a vérrög, és elsodródva a keringéssel, és embóliát, akár halált is okozhat. Épp ezért veszélyes a betegség, mert mivel gyakran zajlik tünetmentesen, előfordulhat, hogy a tüdőembólia az első tünete. Ma már a mélyvénás trombózist nem kell feltétlenül kórházban kezelni, de ennek eldöntése orvosi feladat. A fekvésen kívül rugalmas pólya viselése, és véralvadásgátló injekció, majd tabletta adása szükséges.

A legjobb, ha sikerül a betegséget megelőzni. Ágyban fekve, műtét után, vagy akár a repülőn is, gyakran, akár félóránként mozgassuk meg körkörösen és le-fel lábfejünket, erőteljesen hajlítsuk be többször lábujjainkat, húzzuk fel térdeinket, kelljünk fel, tegyünk néhány lépést. Igyunk sok folyadékot, viseljünk rugalmas pólyát, repülőn kompressziós zoknit.

A gyógyszeres megelőzés elrendelése orvosi feladat, egyre többen kapják a betegek már otthon is, műtét után még hetekig, vagy az alsó végtag gipszrögzítésének ideje alatt a hasfal bőre alá beadható injekciókat. A műtét után ugyanis bizonyítottan legalább 4 hétig fokozott a betegség kialakulásának kockázata.

Egy dolgot nem árt tudni még. A mélyvénás trombózis nem azonos a felületes, bőr alól kidudorodó visszerek rögösödésével, gyulladásával. Ez utóbbi ugyan kellemetlen tünetekkel jár, de rendszerint ártalmatlan megbetegedés.

 

Dr. Kökény Zoltán

forrás: archívum
(Patika Tükör – 051205)

Egyszerű szöveg

  • A HTML jelölők használata nem megengedett.
  • A webcímek és e-mail címek automatikusan kattintható hivatkozásokká alakulnak.
  • A sorokat és bekezdéseket a rendszer automatikusan felismeri.