Amyloid (amiloidĂłzis)

Amyloid (amiloidĂłzis)

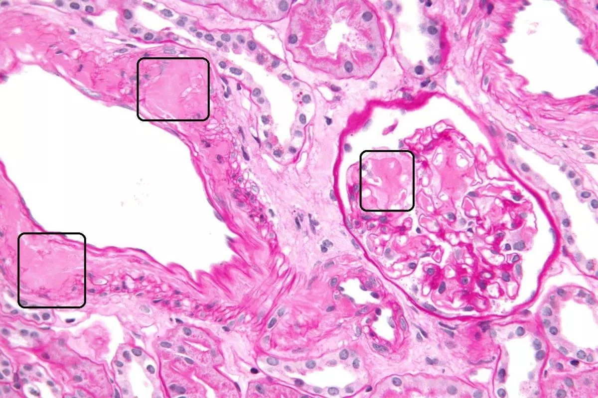
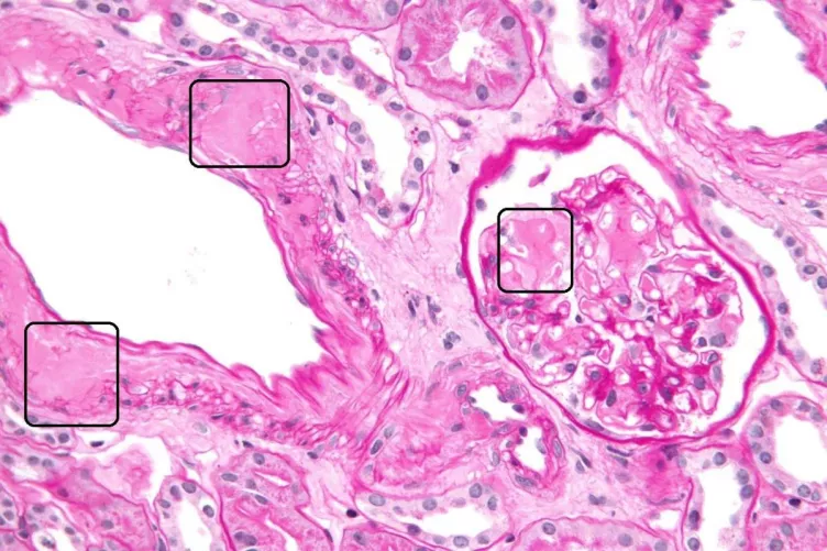
Amiloid lerakódás vesében
Amiloid lerakódás vesében

Amiloidózis (amiloid depozitumok) vesében. A bekeretezések homogén területei az amyloid lerakódások.

Forrás
Nephron, liszensz: CC BY-SA 3.0 (Wikimedia Commons)
KategĂłria

Egyszerű szöveg

  • A HTML jelölĹ‘k használata nem megengedett.
  • A webcĂ­mek Ă©s e-mail cĂ­mek automatikusan kattinthatĂł hivatkozásokká alakulnak.
  • A sorokat Ă©s bekezdĂ©seket a rendszer automatikusan felismeri.