TĂ©vhitek a koleszterinrƑl

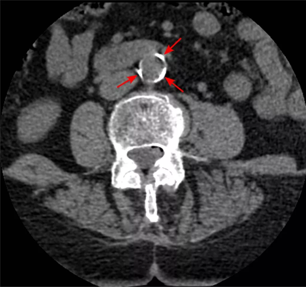
CT-felvétel meszes hasi aortåról
A csigolya elƑtt lĂĄthatĂł hasi aorta (nyilakkal jelezve) "vilĂĄgĂ­t" az elmeszesedĂ©s miatt – CT rĂ©tegfelvĂ©tel, szerzƑ: Jmarchn, liszensz: CC BY-SA 3.0 (Wikimedia Commons)

2010–2014 között orszĂĄgszerte közel szĂĄzezer ingyenes koleszterinszint-mĂ©rĂ©st vĂ©gzett MagyarorszĂĄg ÁtfogĂł EgĂ©szsĂ©gvĂ©delmi SzƱrƑprogramja: a vizsgĂĄlt nƑk 39%-ĂĄnĂĄl, a fĂ©rfiak 47%-ĂĄnĂĄl mĂ©rtek hatĂĄrĂ©rtĂ©k feletti koleszterinszintet.

A magas koleszterinszint korai szakaszĂĄban mĂ©g nincsenek tĂŒnetek, de megelƑzĂ©s, illetve kezelĂ©s hiĂĄnyĂĄban sĂșlyos rendellenessĂ©gekhez vezethet.

Ma mĂĄr bizonyĂ­tott tĂ©ny, hogy a vĂ©rben lĂ©vƑ zsĂ­rok mennyisĂ©ge Ă©s az Ă©relmeszesedĂ©s kialakulĂĄsa között szoros összefĂŒggĂ©s van. Vannak, akiknek szĂŒletetten (örökölten) sok koleszterin Ă©s triglicerid van a vĂ©rĂŒkben, mĂĄsoknĂĄl elsƑsorban a hibĂĄs tĂĄplĂĄlkozĂĄsi szokĂĄsok vezetnek a vĂ©r magas zsĂ­rtartalmĂĄhoz.

Az Ă©letmĂłd megfelelƑ vĂĄltoztatĂĄsĂĄval – szĂŒksĂ©g esetĂ©n gyĂłgyszeres kezelĂ©ssel kiegĂ©szĂ­tve – a vĂ©r koleszterin- Ă©s trigliceridszintje normalizĂĄlhatĂł, Ă©s ezzel a koszorĂșĂ©r-betegsĂ©g, a szĂ­vinfarktus, az agyi infarktus Ă©s a hirtelen halĂĄl rizikĂłja is csökkenni fog.

A magas vĂ©rzsĂ­rszintet nem csak a tĂșl zsĂ­ros tĂĄplĂĄlkozĂĄs, hanem a tĂșl sok szĂ©nhidrĂĄt- Ă©s alkoholfogyasztĂĄs, a rosszul beĂĄllĂ­tott cukorbetegsĂ©g, a kövĂ©rsĂ©g (alma tĂ­pusĂș elhĂ­zĂĄs), esetenkĂ©nt fogamzĂĄsgĂĄtlĂłk Ă©s bizonyos gyĂłgyszerek is okozhatjĂĄk. A vĂ©rzsĂ­rszint 1%-os csökkentĂ©se 2%-kal csökkenti a szĂ­vinfarktus Ă©s a hirtelen halĂĄl veszĂ©lyĂ©t.

A mĂ©rĂ©sek alapjĂĄn minden harmadik magyart Ă©rintƑ felhĂ­vĂĄsban egyebek mellett az is szerepet jĂĄtszhat, hogy mĂ©g mindig sok tĂ©vhit kering a koleszterinnel kapcsolatban. LĂĄssuk a hĂĄrom legelterjedtebbet:

„Ha nem fáj, nincs baj”

A magas koleszterinszint sokĂĄig nem fĂĄj, nincsenek tĂŒnetei, ezĂ©rt hĂ­vjĂĄk csendes gyilkosnak. Az elnevezĂ©s sajnos nagyon is talĂĄlĂł, hazĂĄnkban ugyanis rĂ©gĂłta a szĂ­v- Ă©s Ă©rrendszeri eredetƱ betegsĂ©gek vezetik a halĂĄlozĂĄsi statisztikĂĄkat, amelyek egyik elsƑ szĂĄmĂș kockĂĄzati tĂ©nyezƑje a magas koleszterinszint. Ennek kiszƱrĂ©sĂ©hez az ujjbegybƑl vett egyetlen csepp vĂ©r analĂ­zise is elegendƑ.

„A koleszterin káros”

A koleszterin a szervezetĂŒnk normĂĄlis mƱködĂ©sĂ©hez szĂŒksĂ©ges, összetett vegyĂŒlet, amelynek egy rĂ©szĂ©t szervezetĂŒnk ĂĄllĂ­tja elƑ, mĂĄsik rĂ©szĂ©t pedig a tĂĄplĂĄlĂ©kkal vesszĂŒk fel. KĂ©t fajtĂĄja van. Az LDL, azaz a „rossz koleszterin” lerakĂłdik az artĂ©riĂĄk falĂĄban, Ă©s növeli az Ă©relmeszesedĂ©s kockĂĄzatĂĄt. A „jĂł koleszterinkĂ©nt” ismert HDL ugyanekkor eltĂĄvolĂ­tja a felesleges koleszterint a sejtekbƑl Ă©s plakkokbĂłl, azt a mĂĄjba szĂĄllĂ­tja, amely ĂșjrahasznosĂ­tja, tehĂĄt vĂ©d az Ă©relmeszesedĂ©stƑl.

MĂ©rsĂ©kelten vagy sĂșlyosan emelkedett (az összkoleszterinszint 5 mmol/l feletti) Ă©rtĂ©keknĂ©l ezĂ©rt tovĂĄbbi vizsgĂĄlatok szĂŒksĂ©gesek, amely sorĂĄn az orvos figyelembe veszi az egyĂ©b betegsĂ©geket, meghatĂĄrozza a koleszterin alkotĂłelemeit, Ă©s megmĂ©ri a veszĂ©lyes LDL-koleszterin Ă©rtĂ©kĂ©t is.

EgĂ©szsĂ©ges embereknĂ©l ekkor 5,2 mmol/liter koleszterinszint fogadhatĂł el. Ismert koszorĂșĂ©r-betegsĂ©g esetĂ©n (szĂ­vinfarktuson vagy Ă©rmƱtĂ©ten ĂĄtesett) a koleszterin cĂ©lĂ©rtĂ©ke 3,5 mmol/liter alatti. MĂ­g a trigliceridszint Ă©s LDL-koleszterin 1,7 mmol/liter alatt ideĂĄlis, addig a HDL-koleszterin (jĂł, vĂ©dƑ koleszterin) 1,5 mmol/liter felett kell legyen.

„A koleszterinszint nem csökkenthetƑ”

Ez Ă­gy nem igaz, hiszen a koleszterinszint Ă©letmĂłdvĂĄltĂĄssal, pĂ©ldĂĄul a dohĂĄnyzĂĄsrĂłl valĂł leszokĂĄssal, Ă©teleink koleszterintartalmĂĄnak csökkentĂ©sĂ©vel, rendszeres testmozgĂĄssal Ă©s szĂŒksĂ©g esetĂ©n az orvos ĂĄltal rendelt, jellemzƑen sztatinterĂĄpia követĂ©sĂ©vel hatĂ©konyan csökkenthetƑ.

A koleszterin- Ă©s trigliceridszintet az ĂĄllati eredetƱ, Ășn. telĂ­tett zsĂ­rok fogyasztĂĄsĂĄnak kerĂŒlĂ©sĂ©vel, valamint gyĂłgyszerelĂ©ssel tudjuk csökkenteni. A jĂł, azaz a HDL-koleszterin kĂ©pzƑdĂ©sĂ©t rendszeres fizikai aktivitĂĄssal, mozgĂĄssal fokozhatjuk.

 

szakĂ©rtƑ:
Fauszt Terézia dr.

EgyszerƱ szöveg

  • A HTML jelölƑk hasznĂĄlata nem megengedett.
  • A webcĂ­mek Ă©s e-mail cĂ­mek automatikusan kattinthatĂł hivatkozĂĄsokkĂĄ alakulnak.
  • A sorokat Ă©s bekezdĂ©seket a rendszer automatikusan felismeri.