Hirtelen szívhalál – Újraélesztés, pacemaker és ICD

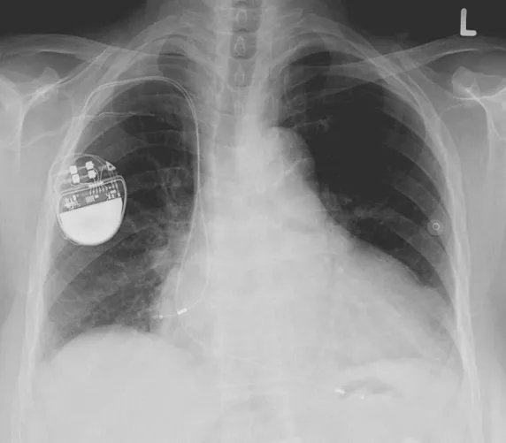
Beültetett pacemaker mellkasi röntgenfelvételen
Pacemaker röntgenfelvételen – szerző: Lucien Monfils, liszensz: CC BY-SA 3.0 (Wikimedia Commons)

A hirtelen szívhalál nem válogat, bármikor, bárkivel megtörténhet. A mentők kiérkezéséig folytatott küzdelem, a szakszerű segítségnyújtás életet menthet.

Hazánkban a hirtelen szívhalál a vezető halálokok között szerepel, évente 26 ezer ember veszíti életét azonnali szívmegállás következtében. Minden órában három embernek áll meg a szíve, ekkor a szív pumpáló teljesítménye megszűnik, ezáltal az agy és maga a szívizomzat is vérellátás nélkül marad, a beteg összeesik, légzése leáll, pulzusa nem tapintható. Újraélesztéssel a beteg keringése mechanikusan fenntartható, élete megmenthető.

A szív váratlan megállása kortól, nemtől függetlenül bárkinél előfordulhat, ráadásul nagy százalékban a látszólag egészséges embereknél is bekövetkezhet.

A halál oka az esetek 80 százalékában a szív elektromos katasztrófája, mely kamrafibrilláció következtében jön létre. Az orvosi mikroelektronika fejlődésének köszönhetően az áldozatok nagy része megmenthető lenne.

A hirtelen szívhalál esetében azonnali cselekvésre van szükség, hiszen a segítség nélkül eltelt minden perc tizedével csökkenti a beteg életesélyeit. Az ötödik perc után pedig, sajnos, elkezdődik az agykárosodás. Éppen ezért nagyon fontos, hogy mindenki tisztában legyen az újraélesztés alapvető technikájával.

A hirtelen szívhalál elkerülésében a beültethető készülékeknek jelentős szerepe van. 1 millió főre vetítve évente megközelítőleg 550 pacemaker beültetés történik hazánkban, míg az ebben a tekintetben európai éllovas Németországban közel 1200 ilyen implantációra kerül sor. Az ICD (pacemaker defibrillátor – Implantable Cardioverter Defibrillator) beültetések száma Magyarországon évente 70-75 szintén 1 millió lakosra vetítve. Olaszországban ez a szám már meghaladja a 250-et.

A hagyományos pacemaker egy olyan szívritmus-szabályozó eszköz, amely általában azt hivatott megakadályozni, hogy a szív túl lassan verjen, így segítve elő annak szabályos, megfelelő ütemben történő működését. A szintén bőr alá ültethető ICD akkor is működésbe lép, amikor életet fenyegető, a vérkeringés fenntartásával összeegyeztethetetlen ritmuszavart (ún. fibrillácót) észlel a szívben. Ahogy azt Fülöp János, a rendezvényt szervező ICD-Pacemakerrel Élni Alapítvány elnöke elmondta, az ICD tulajdonképpen ugyanúgy működik, mint egy külső defibrillátor, csak ez be van ültetve a betegbe.

Az iparilag fejlett országokban éves szinten 500-1000/1 millió lakosra tehető az implantációk száma. Dr. Geller László, a Magyar Kardiológusok Társasága Aritmia és Pacemaker Munkacsoportjának vezetője a vasárnapi Pacemaker Nap alkalmával elmondta, hogy ma Magyarországon minden beteg kap pacemakert, akinek arra szüksége van, gyakorlatilag várólista sem létezik.

A szívritmus-szabályzó készülékek technikai fejlettsége jelentősen növekedett az utóbbi évtizedek során. Mindezek ellenére a betegek számára nem sikerül olyan életminőséget biztosítani, mint amilyen a betegség előtt volt. Ugyanakkor számos olyan dologra kell fokozott figyelmet fordítaniuk, amelyek mások számára természetesnek tűnhetnek.

Az ICD-Pacemakerrel Élni Alapítvány célja, hogy a beültetett készülékekkel élő emberek folyamatos tájékoztatását, felvilágosítását biztosítsa az élhetőbb mindennapok megteremtése érdekében. A szívritmus-szabályzókkal való együttélés szabályaival ugyanis minden betegnek tisztában kell lennie és be kell tartania azokat. Emellett a hozzátartozók elsősegély-nyújtó oktatását is kiemelt feladatának tekinti az Alapítvány, hiszen egy esetleges szívmegállás esetében az eszköz nélküli újraélesztéssel a családtagoknak különösen tisztában kell lennie.

 

Egyszerű szöveg

  • A HTML jelölők használata nem megengedett.
  • A webcímek és e-mail címek automatikusan kattintható hivatkozásokká alakulnak.
  • A sorokat és bekezdéseket a rendszer automatikusan felismeri.

2025. 10. 14., k – 21:53 | Sz. Jánosné

3honapja volt pacameker beultetésem . A pulzusom jó volt nemrég 47 volt , ez mennyire veszélyes . Mit tegyek.

Általában 50-60/perc a programozott szívfrekvencia (ami alatt a készülék beavatkozhat), de ez személyre szabott, függhet a konkrét ingerképzési-ingerületvezetési kóroktól, a páciens kondíciójától, egészségi állapotától, gyógyszereitől stb. Ha jól is érzi magát a 47-es pulzus mellett, de rendre hasonló pulzuszámot mér, kérdezze meg kezelőorvosát az esetleges teendőkről, készüléke beállításairól, vagy beszéljen háziorvosával. Innen ennyire szorítkozhatunk.

2025. 07. 26., szo – 10:17 | Bereczki Ilona

ICD- ültettek be márciusban ! Május elejétől rendszeresen tornázok és 3000 lépést gyalogolok nordic wokinggal!
Kérdésem , hogy milyen tipusú gyógymasszázsra mehetnék? Köszönöm!

A cikkhez feltett első olvasói kérdésre adott válaszunkat ajánljuk figyelmébe. Kérjük, kattintson át a hozzászólások alatt a következő oldalra!

2025. 01. 12., v – 07:27 | B.G.

Előfordulhat e olyan,hogy frissen beültetett pacemaker után 24 órán belül meghal a beteg? Meddig kell megfigyelés alatt lenni az osztályon gépen?

Ritkán, de előfordulhat. A súlyos szövődmények gyakorisága 1%-ra tehető. A páciensek az intézményben tölthetik az éjszakát, de többségükben 24 órán belül hazamehetnek. Szakorvosi kompetencia a kockázat felmérése, ill. annak megítélése, hogy a kórelőzmény, az aktuális állapot és a műtét körülményei figyelembevételével meddig szükséges a páciensnek a kórházban maradni, állapotát monitorozni.     

2024. 05. 01., sze – 19:02 | Cs. Pál

Elektróda törés miatt 22-szer ütött ki a peacemekerem!!!
Mennyit romlott ettől a szivem???

Ezt innen nem tudjuk megmondani, ha egyáltalán romlott a funkciójában. Korábbi válaszunkat ajánljuk figyelmébe.

2024. 02. 06., k – 15:04 | F. István

4. alkalommal indult be az ICD pacemakerem. Mennyire károsodott a szívem?
Köszönöm a válaszokat.

Ezt természetesen nem tudjuk megmondani. Egyes szakemberek szerint ezek a "beindulások" nem okoznak kárt még akkor sem, ha az nem volt adott esetben indokolt. Mások ezt megkérdőjelezik, ott is különbséget téve, hogy a készülék valódi vészhelyzetben avatkozott-e be vagy sem. Mi nem látunk konszenzust arról, hogy a kilátások esetleges romlása visszavezethető-e valamilyen részben a készülék beavatkozásaira, avagy nincs összefüggés, és a prognózis magából a szívbetegségből fakad, ami miatt a páciens ICD-t kapott. Ha a felesleges ütés nem is jelentene kockázatot, attól még kellemetlen és megviseli elszenvedőjét, így a programozás során törekednek az indokolatlan sokkok elkerülésére.

2022. 12. 03., szo – 19:14 | T. Istvánné

2016-ban kaptam pacemakert azóta is a bal vállam, karom nagyon sokat fáj és a hátam is. Hiába mondom az orvosnak, ha megyek az éves vizsgálatra, szinte figyelembe se veszi . Köszönöm a választ.

Valóban, sokan nem tulajdonítanak ennek jelentőséget, noha életminőséget romboló komplikáció. Reumatológushoz és gyógytornászhoz érdemes fordulnia – egyéb lehetséges okok kizárása végett is. Kutatások szerint a szívritmus-szabályozó beültetése után jelentkező mozgásszervi panaszok túlnyomórészt megelőzhetők, illetve megszüntethetők/csökkenthetők a vállöv műtét utáni szakszerű tornájával, mobilizálással.

2020. 11. 12., cs – 15:03 | G. Máté

Érdeklödnék, hogy az ICD "beavatkozások" után rosszabbodhat-e a szív állapota, teljesítöképessége. Nem tudom sajnos orvosi nyelven konkrétan megfogalmazni, de adott egy beteg, akinél egy év alatt két alkalommal volt szívrohama, amikor az ICD beavatkozott. A rohamok elött az ultrahang értéke a kontrollokon még 45% volt, de a rohamok után már csak 30-35%-ot mértek.

Lehetséges, hogy az ICD az egyik oldalon megmenti az életét, de a másik oldalon ennek ára van, és valóban romlik a szív.
Köszönöm!

Számos erre irányuló vizsgálat ellenére megoszlik a kardiológusok véleménye. Többségükben úgy gondolják, hogy nem az ICD sokk áll a szív tovább romló pumpafunkciója mögött, hanem maga a szívroham (eleve csökkent ejekciós frakció mellett), azaz az alapbetegség progressziója.

2020. 05. 31., v – 18:18 | Juhász Györgyné

Ha valakinek be van ültetve a pacemarker és jól működik lehet-e halált okozó szívmegállása ?

Ha a szívmegállás alatt elégtelen pumpafunkciót értünk, akkor igen, de nagyon ritkán. Főként kamrai tachikardia vagy fibrilláció, elvétve az eszköz okán.

2019. 05. 07., k – 16:48 | Rózsa Gábor

Z 2 5 N Z ICD pacemeker-em van, inverter hegesztést végezhetek -e?

Speciális kérdés, megoszlanak a vélemények. Felelősen erről az Önt ismerő kardiológus nyilatkozhat az eszközök ismeretében. Amennyiben a kardiológusától zöld utat kap, számos szempontot figyelembe kell majd vennie – pl. környezet, ruházat, áramerősség, távolságok stb.

2019. 01. 16., sze – 18:03 | Horváthné

Nagyon fáj a bal vállam, de a reumatológus nem akar fizikoterápiás kezelést adni a pacemeker-em miatt.
Milyen kezelést kaphatok és mire kell figyelnie az asszisztensnek? Le van mindez írva valahol részletesen?
Előre is köszönöm!

Társoldalunk, a gyógytornafórum.hu vonatkozó témáinak böngészését javasoljuk.