dr. House esetei – Paraneopláziás szindrómák

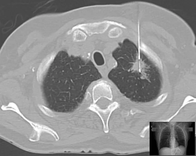
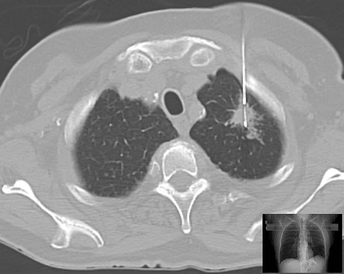
Gyanús szövetszaporulat biposziája tüdőben.
CT-vezérelt biposzia tüdőrákra gyanús képletben – szerző: Hellerhoff, liszensz: CC BY-SA 3.0 (Wikimedia Commons)

Sorozathősünk a minap újabb "véletlen lelet" útján tett szomorú pontot termetes páciensével vívott diagnosztikus küzdelmének végére. A dobverőujj észrevételezése mint zárómomentum – az evidencia alapú orvoslás lehetőségeinek szempontjából – a beteg sorsának megpecsételődését jelentette.

Paraneopláziás tünetek rosszindulatú, többnyire súlyos betegségek kísérői lehetnek (para – mellett, neoplasia – daganatképződés).

Nem hozhatóak közvetlen összefügésbe a tumor lokális inváziójával, áttétképzésével, sem annak alapszövetére esetlegesen jellemző hormon vagy ingerületátvivő anyag megnövekedett elválasztásával. A tünetegyüttesbe nem tartozik bele a malignus betegségek többségére jellemző, multifaktoriális okozatú kóros lesoványodás (cachexia).

Paraneopláziás tünetek a rosszindulatú betegségek 12-13%-ában fordulnak elő. A háttérben többnyire tüdőrák, vérképzőszervi megbetegedések, emlőrák áll, de számos más betegséghez társulhatnak.

A szindrómák megjelenéséért a kiindulási szövetre nem, de a kórosan differenciálódó daganatsejtekre jellemző képesség, azaz különböző hormonok, hormonszerű, hormonhatású vegyületek termelése állhat. Ez a képesség nem üdvözlendő, kivéve, ha egy rejtett daganat első megnyilvánulásának folyományaként a beteg élete – idejekorán történő beavatkozással – megmenthető. Az esetek többségében azonban a paraneoplasztikus tünetegyüttesek önmagukban súlyosbítják a kórképet, és kedvezőtlen prognosztikus faktorként értékelendőek.

Néhány betegség, melyekben fellelhetőek (zárójelben a paraneoplasztikus tünetek)

  • tüdőrák (Cushing-szindróma – leginkább annak kissejtes formájában; a dobverőujj, továbbá a csont- és ízületi bántalmak főként a tüdő adenocarcinomájára jellemzőek)
  • emlőrák (idegrendszeri zavarok)
  • gyomorrák (ún. Carcinoid-szindróma – változatos tünetekkel: bőrpír, hasmenés, hányinger, köhögés, nehézlégzés, asztmát utánzó tünetek, szívpanaszok)
  • veserák (policitémia – vörösvértestek kóros felszaporodása)
  • csecsemőmirigyből kiinduló daganat (myasthenia gravis – súlyos izomgyengeség)
  • hasnyálmirigyrák (Carcinoid-szindróma, vénás trombózis)
  • egyéb folyamatoknál például a szervezet ionháztartásának, folyadékegyensúlyának felborulása, előrehaladott esetekben szívbelhártyagyulladás.

A paraneopláziás szindrómákért, elváltozásokért felelős hormonok, hormonszerű vegyületek: ACTH (adrenokortikotrop hormon – mellékvesekéregre ható hormon) és ACTH-szerű anyagok, szerotonin, bradikinin, eritropoetin stb. Az előbbieken, valamint a még meg nem ismert egyéb okokon túlmenően toxikus és immunológia folyamatok is szerepet játszhatnak a tünetek kialakulásában.

 

Váli Béla Edgár
orvosiLexikon.hu

Egyszerű szöveg

  • A HTML jelölők használata nem megengedett.
  • A webcímek és e-mail címek automatikusan kattintható hivatkozásokká alakulnak.
  • A sorokat és bekezdéseket a rendszer automatikusan felismeri.