Stroke - Agyvérzés

Stroke - Agyvérzés

Stroke - Agyvérzés CT-felvételen
Stroke - Agyvérzés CT-felvételen

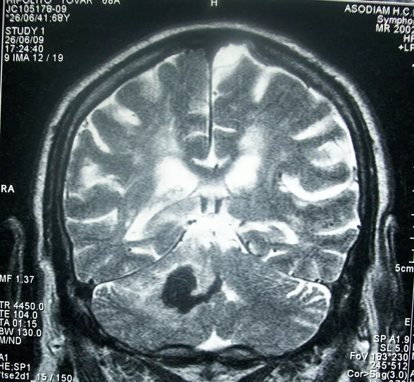
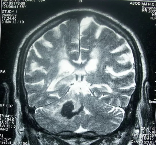
Stroke - Agyvérzés (30 órás, kisagy - cerebellum)

Forrás
Bobjgalindo; jogállás: CC-BY-SA-3.0 - Wikimedia Commons
KategĂłria