Mandulagyulladás

Mandulagyulladás

Mandulagyulladás

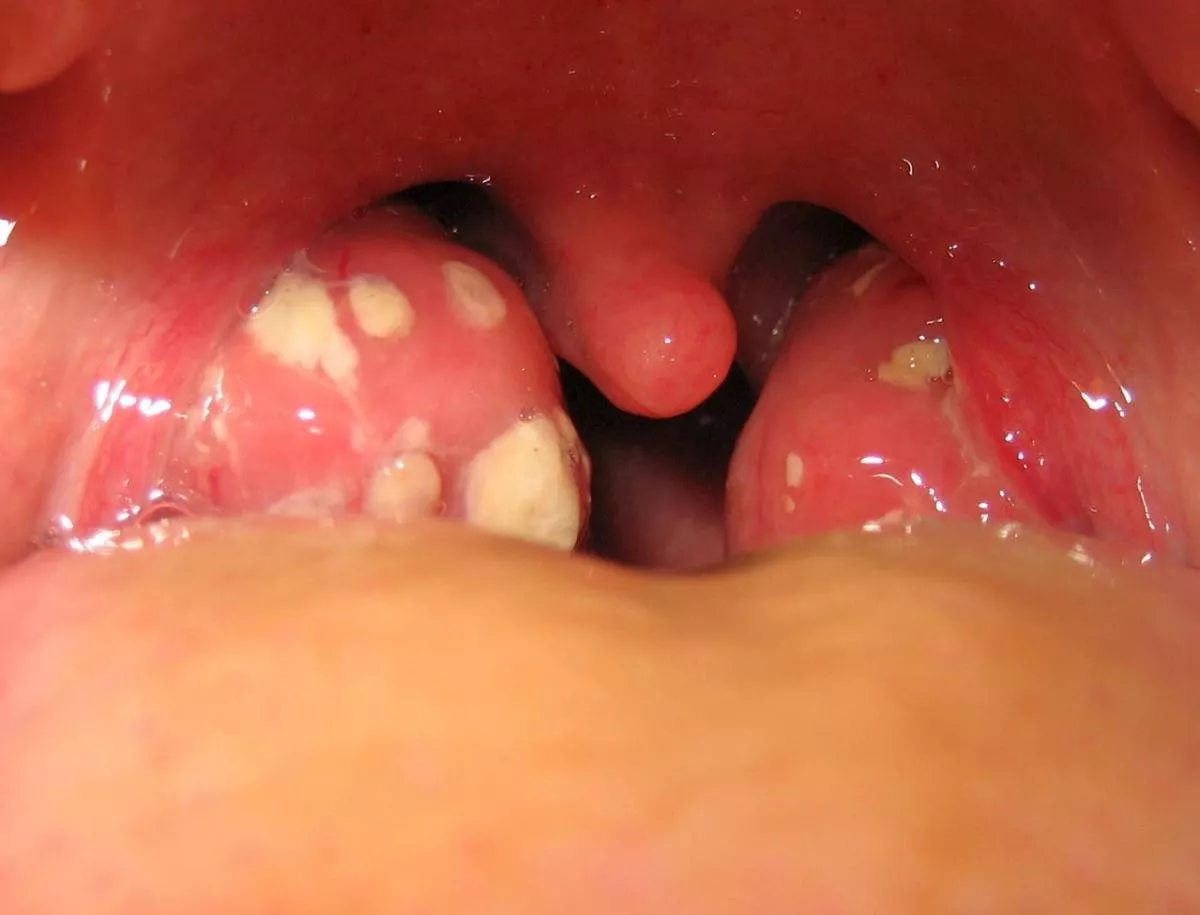
Mandulagyulladás (Tonsillitis). Gyulladt, megnagyobbodott mandulák, follikulusokból ürülő gennyes váladékszigetekkel. Gyulladás nélkül a follikulusokban morzsalékony, magától olykor nehezen távozó törmelék (detritus) lehet jelen. A tüszős mandulagyulladást baktérium, többnyire a Streptococcus pyogenes okozza.

Forrás
Michaelbladon (Wikimedia Commons)
Kategória

Egyszerű szöveg

  • A HTML jelölők használata nem megengedett.
  • A webcímek és e-mail címek automatikusan kattintható hivatkozásokká alakulnak.
  • A sorokat és bekezdéseket a rendszer automatikusan felismeri.